Kienböck hastalığı (Lunatomalazi)
lunatumun avasküler nekrozu ile seyreden, el bilek ekleminde ilerleyici ağrı ve fonksiyon kaybına neden olan bir tablodur. Kienböck hastalığının tedavisinin planlanması ulnar varyans, hastalığın evresi, artroz bulgularının varlığı veya yokluğu ve hastanın yaşı ya da beklentileri gibi hastaya bağlı faktörlere bağlıdır. Radyolojik görünüm çoğunlukla klinik ile uyumlu olmamasına rağmen birkaç farklı cerrahi tedavi yöntemi tanımlanmıştır. Hastalığın erken evrelerinde eklem yüzlerinin dengelenmesi, tekrar kanlanmanın sağlanması, karpal kemikler arası artrodezler, kısmi ya da tam kapitatum kısaltma gibi dekompresyon uygulamaları tanımlanmıştır. Hastalığın geç evrelerinde denervasyonlar, üst dizi karpektomisi veya el bilek eklem artrodezi gibi kurtarıcı uygulamalar tedavide yardımcı yöntemlerdir. Anahtar sözcükler: Artrit; Kienböck hastalığı; osteonecrosis; el bileği.
Sponsorlu Bağlantılar
Kienböck hastalığı (Lunatomalazi), Lunatumun ilerleyici osteonekrozudur. İlk olarak Peste tarafından 1843 yılında kadavralarda tanımlanmıştır. Ancak 1910 yılında radyolojik özelliklerini ilk kez tanımlayan Avusturyalı radyolog Robert Kienböck'ün adıyla anılagelmiştir. Yüz yıl önce tanımlanmış olmasına rağmen hastalığın nedeninin kesin olarak ortaya konamamış olması ve tanımlanmış çeşitli tedavi yöntemlerine rağmen, yeterli uzun dönem karşılaştırmalı çalışmalar olmaması nedeniyle tanı ve tedavi sürecinde hem hasta hem de hekim açısından ciddi zorluklarla karşılaşılmaktadır.
Etyoloji

Lunatumun hastalık sürecinde fragmentasyonu ve çökmesi histolojik olarak osteonekroza ikincil olarak ortaya çıkmaktadır. Etyoloji mekanik, vasküler ve travmatik olmak üzere üç ana başlıkta değerlendirilebilir. Son yıllarda bölgesel vasküler ve anatomik nedenler ön planda düşünülmektedir. Hulten, 1928 yılında 23 Kienböck hastasında yaptığı çalışmada %78 oranında negatif ulnar varyans saptamış ve bunu genel nüfusla karşılaştırdığında sadece %23 oranında gözlendiğini tespit etmiştir. Bu bulgudan yola çıkarak distal radioulnar eklemde ulnanın kısa olmasından dolayı, radiolunat eklem üzerinden daha fazla yük aktarıldığını, lunatumun kapitatum ve radius arasında olması gerekenden daha fazla yüke maruz kaldığını, sonuçta tekrarlayan mikrokırık gelişimine bağlı olarak Kienböck hastalığı oluşma riskinin arttığını bildirmiştir. Yapılan çalışmalarda Ulnar varyans ve kısmen azalmış radial inklinasyonun Kienböck hastalığının oluşmasındaki etkileri gösterilmiştir. Kienböck hastalığı ve negatif ulnar varyans ilişkisi birçok çalışmayla desteklenmesine rağmen, bu ilişkinin anlamlı olmadığım gösteren çalışmalar da vardır.
Pıhtılaşma bozuklukları, azalmış arteryel akım ve artmış venöz basınç vasküler mekanizmalar arasında sayılabilir. Lunatumun besleyici damarları genellikle eklem olmayan kemik yüzlerinden gerçekleşir. Yapılan çalışmalarda %7-23 arası lunatumda tek volar arteryel besleyici damar varlığı tanımlanmıştır. Tek bir besleyici arter ve kısıtlı kemik içi damar dallanmaları varlığında akut ya da kronik travma etkisiyle osteonekroza yatkınlık oluşabileceği düşünülmektedir. Jensen ve ark., Kienböck hastalarında kemik içi basıncın yüksek olduğunu ortaya koymuşlardır. Daha sonra yapılan bir anatomik çalışmada lunatumun venöz akımında oluşabilecek sorunların artmış kemik içi basınca, bunun da osteonekroza yol açabileceği gösterilmiştir.
Klinik tanı
Lunatum avasküler nekrozu 20-40 yaş arası erkeklerde sıktır ve kliniğe genellikle el bilek ağrısı, şişlik, hareket açıklığında azalma ve günlük aktiviteleri gerçekleştirmede güçlük yakınması ile başvururlar. Genellikle tek taraflıdır ve travma öyküsü yoktur.
Görüntüleme yöntemleri ve sınıflandırma
Hastalığın tanısı genellikle belirgin radyolojik görünümün ortaya çıktığı üçüncü evrede konur.
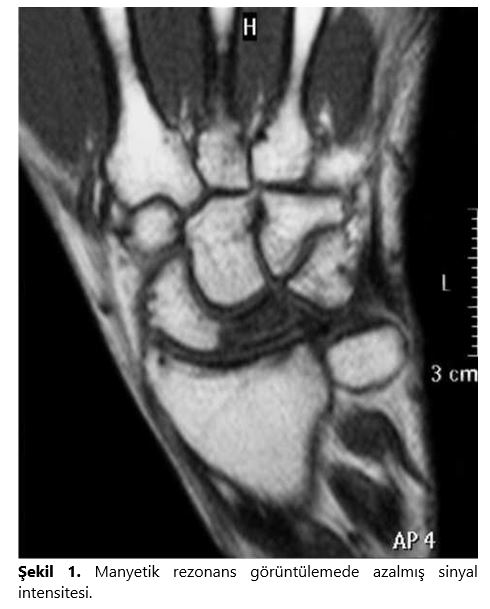
Direkt grafiler ulnar varyans, karpal yükseklik, radial inklinasyon ve dejeneratif değişikliklerin değerlendirilmesi açısından son derece önemlidir. Ulnar varyansın tam olarak değerlendirilmesi için omuz 90°, dirsek 90° ve önkolun nötral pozisyonda olması önemlidir. Hastalığın başlangıcında direkt grafiler tamamen normaldir, daha sonra lunatumda yaygın skleroz ortaya çıkar. Hastalığın ilerleyen dönemlerinde lunatumda çökme oluşur, bunu kapitatumun yukarıya yönlenmesi, skafoidin yer değiştirmesi ve sonrasında hızla gelişen yaygın artroz bulgularının ortaya çıkması takip eder. Manyetik rezonans görüntüleme (MRG) direkt radyolojik bulguların olmadığı hastalığın erken dönemlerinde etkilidir. Özellikle Ti ağırlıklı kesitlerde düşük sinyal intensiteleri, T2 ağırlıklı kesitlerde ise hiperintens görünüm izlenir (Şekil i).
En sık Lichtman'ın radyolojik bulgulara göre tanımlamış olduğu sınıflandırma kullanılmaktadır (Tablo 1). Birinci evrede direkt grafiler normaldir, fakat MRG'de difüz sinyal intensite değişiklikleri vardır. İkinci evrede direkt grafilerde lunatumda difüz skleroz vardır. Üçüncü evre ikiye ayrılır: Evre IIlA'da lunatumda çökme vardır (genellikle hastalığın ilk tanımlandığı dönemdir). Evre IIIB'de lunatumdaki çökmeye kapitatumun proksimale yer değiştirmesi ve sakafolunat açının 60°'nin üzerine çıkması ile karpal yükseklik azalması eşlik eder. Evre IV'de lunatumdaki çökmeye radiokarpal ve midkarpal artroz eşlik eder (Tablo 1).

Tedavi
Kienböck hastalığının tedavisinde konservatif tedaviden el bilek artrodezine uzanan çok sayıda tedavi yöntemi tanımlanmıştır. Uygulanan cerrahi yöntemler başlıca üç ana grupta değerlendirilebilir; (i) biyomekanik olarak lunatum üzerindeki yükü azaltan ameliyatlar, (ii) biyolojik yöntemler (vasküler kemik greftleri) ve (iii) kurtarıcı ameliyatlar (Tablo 2).
Tedavinin planlanmasında hastalığın evresi, ulnar varyans, hastanın yaşı ve beklentileri önemlidir. Konservatif tedavinin hastalığın seyrinde etkili nolmadığı ancak hastalığın birinci evresinde ya da diğer evrelerde cerrahi tedaviye geçmeden önceki süreçte kısa süreli uygulandığında gelişmiş olan enflamasyonun ve yakınmaların azaldığı bildirilmiştir.

Radial kısaltma
Mekanik olarak lunatumun üzerindeki yükün azaltılması, çökme ve hastalığın ilerlemesinin engellenmesi amacıyla eklem yüzeylerini dengeleyici yöntemler tercih edilir. Eklem yüzeylerinin dengelenmesi için nötral ya da +1 mm ulnar varyans oluşturulmaya çalışılır. Negatif ulnar varyansın düzeltilmesi işlemi ulnanın uzatılması ya da radiusun kısaltılması yoluyla yapılır (Şekil 2, 3). Eklem yüzeylerinin dengelenmesi için en sık uygulanan yöntem radial kısaltmadır, evre II, IIIA ve IIIB'de kullanılabilir. Bu tekniğin avantajları eklem dışı, uygulanması kolay ve etkili bir yöntem olmasıdır.


Nakamura ve ark. yaptıkları çalışmalarda Kienböck hastalığının tüm aşamalarında radial kısaltma yönteminin kullanılabileceğini ancak 4 mm üzerindeki kısaltmalarda ulnar taraf el bilek ağrılarının ortaya çıkabileceğini bildirmişlerdir. Trumble ve ark. yaptıkları çalışmada 2 mm radial kısaltma yapıldığında büyük oranda lunatum üzerindeki yükün azaldığını 4 mm üzerindeki kısaltmaların ise dekompresyon etkisinin kalmadığını bildirmişlerdir. Evre IIIB'de radial kısaltma tekniğinin uygulanımı tartışmalıdır. Condit ve ark. çalışmalarında bir grup hastada sonuçların tatminkar olmadığını bildirmişlerse de, diğer birçok çalışmada bu evrede de iyi sonuçlar bildirilmiştir.
Ulna uzatma
Eklem düzeylerini dengeleyici bir diğer teknik ulna uzatmadır ancak kaynamama riski nedeniyle tercih edilmeyen bir yöntemdir. Bu istenmeyen durumdan kaçınmak için distraksiyon osteogenesis yöntemiyle uzatma tanımlanmış olmasına rağmen pek sık kullanılan bir yöntem değildir.
Radius kapalı kama osteotomisi
Ulnar varyansın nötral ya da (+) olduğu durumlarda tercih edilebilecek bir yöntemdir. Radial inklinasyonu azaltacak şekilde yapılan lateral kapalı kama osteotomisi ile radiolunat eklemdeki yük miktarı değişmemekle birlikte lunatumun osteotomi sonrası radius tarafından daha iyi kaplanması sonucu lunatum üzerindeki tepe basıncı düşer.
Kapitatum kısaltma
İlk olarak Almquist, tarafından kapitohamat artrodez ile birlikte tanımlanmış, %83 oranında revaskülarizasyon bildirilmiştir. Kapitatum kısaltma ulnar varyansın nötral ya da (+) olduğu durumlarda tek başına ya da vasküler kemik greftleriyle birlikte uygulanabilen etkin bir yöntemdir. Biyomekanik çalışmalarda radiolunat yüklenmeyi belirgin olarak azalttığı ortaya konmuştur. Kapitatum kısaltma komplikasyonları nonunion, implant migrasyonu, proksimal parçanın avasküler nekrozudur. Moritomo ve ark., basit, etkili ve minimal invaziv bir yöntem olarak kısmi kapitatum kısaltma tekniğini tanımlamışlardır.
Biyolojik yöntemler (Vasküler kemik greftleri)
Amaç genellikle lunatumun tekrar kanlanmasının sağlanmasıdır. Bu yöntemin amacı hızlı bir şekilde değişim süreci ve kemik iyileşmesi oluşumu ile birlikte primer kemik iyileşmesini sağlamaktır. Bunun için uygulanan çeşitli yöntemler tanımlanmıştır. Bunlar: Vasküler pisiform kemik transferi, iliyak kanattan serbest vasküler kemik transferleri,[34] pronator quadratus vasküler pediküllü kemik greftleri ve metakarpal arterlerin direkt implantasyonu ve son yıllarda ön plana çıkan distal radiustan 4+5 ekstansör kompartmantal vasküler kemik greftleri sayılabilir. Bu yöntemler tek başlarına ya da diğer tekniklerle [Skafotrapeziotrapezoid (STT) artrodez, skafokapitat (SC) tespitler] birlikte uygulanabilmeleri nedeniyle avantajlıdırlar. Vasküler kemik transferleri ile birlikte evre IIIA ve IIIB'de eksternal fiksatör uygulamaları iyileşme sırasında lunatum üzerindeki mekanik stresi azaltarak iyileşme sürecinde yardımcı olabilir.
KİSMİ KARPAL ARTRODEZLER
skafotrapeziotrapezoid artrodez
Skafotrapeziotrapezoid artrodez karpal kemiklerin radial kolonunun sabitlenmesi güç aktarımını radios- kafoid eklem üzerinden geçirerek radiolunat eklemin üzerindeki yükü azaltır. Ancak uzun dönemde radial kolon üzerinden geçen yükler zamanla radiokarpal artroza neden olur. Larsen ve ark., metaanaliz çalışmalarında çeşitli nedenlerle yapılan STT artrodezlerde kaynamama oranlarını %0-33 arasında bildirmişlerdir. Kalb ve ark., STT artrodezdeki başarısızlık nedenlerini kıkırdakların yetersiz olarak alınması, uygun olmayan tespit ve karpal dizilim sorunlarına bağlamıştır. El bilek hareketlerinde kısıtlılık oluşturmasına rağmen STT artrodez, Kienböck hastalığının geç evrelerinde, ilerleyici karpal çökmeyi önleyen güvenilir bir yöntemdir.
skafokapitat artrodez
Evre IIIB'de skafoid fleksiyonu sonrası lunatum üzerindeki yüklenmenin arttığı ve bunun da daha hızlı bir şekilde çökmeye neden olarak hastalık seyrini hızlandırdığı gösterilmiştir. Karpal kemikler arasında yapılan artrodezlerde amaç, skafoid kemiğin uygun pozisyonda sabitlenmesi ve böylece hem karpal yüksekliğin korunması hem de lunatumun üzerindeki yüklenmenin azaltılarak dejeneratif sürecin kısaltılmasıdır.
Skafokapitat artrodez, STT artrodez kadar başarılı sonuçlar elde edilen bir yöntem olarak tanımlanmıştır. Bu teknikte el bilek hareketlerinde kısıtlılık daha fazla olmasına rağmen, kaynamama oranları yarı yarıya azdır. Kaynamama oranlarının düşük olması, artroskopik olarak uygulanabilmesi ve diğer tekniklerle kombine kullanılabilmesi nedeniyle etkin bir tedavi yöntemidir.
Kapitohamat artrodez
Biyomekanik açıdan etkili olmamasına rağmen, hastalığın ileri evrelerinde kapitatumun proksimale hareketini engellemesi nedeniyle, faydalı olduğu düşünülmektedir.
Oishi ve ark., yaptıkları çalışmada el bileği hareket genişliğinin ve kavrama gücünün arttığını göstermişlerdir. Kapitohamat artrodez, el bilek hareketlerini kısıtlamaması ve kolay bir teknik olması nedeniyle kapitatum kısaltma yöntemi ile birlikte kullanılabilecek bir yöntemdir.
Kurtarıcı yöntemler
Dördüncü evrede kurtarıcı nitelikte ameliyatlar tercih edilir. Bunlar: Üst dizi karpektomisi, denervasyonlu ya da denervasyonsuz el bilek artrodezi, total el bilek artroplastisidir.
Üst dizi karpektomisi
Evre IIIB ve IV'de tercih edilen bir yöntemdir. Bu teknikte karmaşık bir eklem hareketleri bütünü basit menteşe eklem haline getirilmektedir. En önemli dezavantajı kemik kısaltılması ve tendonların uzamasına bağlı olarak gelişen kavrama gücü kaybıdır ancak yapılan çalışmalarda uzun dönem takiplerde kavrama gücünün zamanla arttığı gösterilmiştir. Tüm bu belirtilen sorunlara rağmen, yüksek beklentileri olmayan hastalarda uygulanabilecek, ameliyat sonrası el bilek hareket genişliğinde artma ve yeterli kavrama gücü sağlayan sonuçları ile yüz güldürücü bir yöntemdir.
El bilek artrodezi
El bilek artrodezi, Kienböck hastalığının tedavisinde, tek başına ya da denervasyonla birlikte, evre IV ve özellikle ağır işlerde çalışan hastalarda seçilebilecek bir tedavi yöntemidir.
DİĞER YÖNTEMLER
Lunatumun eksizyonu ve interpozisyon artroplastisi
İleri evre Kienböck hastalığında lunatum eksizyonu tek başına veya kısmi artrodez ya da implant uygulamaları gibi diğer yöntemlerle kombine olarak yapılabilir. Tek başına lunatum eksizyonu ile geçmişte iyi sonuçlar bildirilmiştir. Sonraki dönemde oluşabilecek instabilitenin azaltılabilmesi için tendon dolgu gibi organik veya silikon, titanyum, vitalium gibi implantlar kullanılmıştır. Günümüzde silikonun yaygın sinovit oluşturması ve aşırı biyolojik reaksiyon gelişmesi nedeniyle kullanılmamaktadır.
El bilek denervasyonu
El bilek denervasyonu, anteriyor ve posteriyor interosseöz sinirlerin eklem dallarının kesilmesi ile oluşturulur. Tek başına el bilek denervasyonunun Kienböck hastalığının tedavisinde yeri yoktur, genellikle el bilek artrodezi ya da kısmi artrodezleri ile birlikte uygulanabilir.
El bilek artroplastisi
Kienböck hastalığı tedavisinde ileri evrelerde artrodeze ve üst dizi karpektomisine alternatif olarak seçilmiş olgularda kullanılabilecek bir yöntemdir ancak yüksek komplikasyon oranları nedeniyle tercih edilmemektedir.
TOTBİD Dergisi
SİLENTİUM EST AURUM

Kienböck hastalığı (Lunatomalazi)

