Arama

Down Sendromu

Güncelleme: 16 Haziran 2016 Gösterim: 54.729 Cevap: 7
Pollyanna - avatarı
Pollyanna
Ziyaretçi
21 Mart 2008       Mesaj #1
Pollyanna - avatarı
Ziyaretçi

DOWN SENDROMU

Ad:  Down Sendromu1.jpg
Gösterim: 10035
Boyut:  58.8 KB
Bu maddedeki yazılar yalnızca bilgi verme amaçlıdır. Yazılanlar, doktor uyarısı ya da uzman önerisi değildir.

Sponsorlu Bağlantılar
Down sendromu her ırktan, yaştan ve ekonomik seviyeden insanı etkilemektedir. Başlıca ortaya çıkış nedeni kromozom anormalitesidir ve yaklaşık olarak her 800 ila 1000 doğumdan 1 inde görülebilmektedir. Amerika Birleşik Devletlerinde 350,000 in üzerinde insan Down Sendromludur.

Down Sendromu İlk Ne zaman Adlandırıldı?


Yüzyıllardır Down sendromlu insanlar gerek sanatta gerek edebiyatta tasvir edilmiş ve kullanılmıştır. 19.yüzyılda İngiliz doktor John Langdon Down, Down Sendromlu insanlar için ayrıntlı bir tanımlamayı yayınlamıştır. Bu akademik çalışma 1866 yılında basılmıştır. Ve Down bu çalışma ile bu sendromun babası olarak tanınmış ve daha sonraları onun adı ile anılmıştır. Down'dan önce de bazı bilim adamları bu sendromun karakteristikleri hakkında çalışmalar yaptılarsada da ilk kez Down bu sendromun kesin tanılarını ve farklılıklarını ortaya koyan kişi olmuştur.20.yy boyunca tıp ve bilimde ilerlemeler araştırmacıları Down sendromlu insanların karaketistikleri üzerinde daha ileri araştırmalar yapmalarını sağlamıştır. 1959 ylında Fransız doktor, Jerome Lejuene, Down Sendromunun kromozom anormalliğinden ileri geldiğini belirlemiştir. Her hücrede olması gereken 46 kromozom yerine Down Sendromlu kişilerde 47 kromozom gözlemiştir. Daha sonraları ise extra bir bölünme vaya tamamlanmış 21.kromozom ile Down karakteristikleri arasında bir ilişki kurulmuştur.

Neden Down sendromu "genetik durum" olarak tanımlanmaktadır?


İnsan vücudunun yapı taşı hücrelerdir ve her hücrenin bir merkezi vardır ve bu merkez hücre çekirdeği olarak bilinir ve burada genetik bilgiler depolanmaktadır. Bunlarda genlerdir ki ve kalıtımsal özelliklerimizi içeren bilgileri taşımaktadırlar. Genler birarada grup oluşturarak çubuk şekilli bir yapı oluşturur buna Kromozom denir her hücre çekirdeği 23 çift kromozom içerir bunların her bir yarısı anne ve babadan gelen kalıtımsal özellikleri içerir.

Down Sendromunda 46 kromozom yerine 47 kromozom vardır, bu eksta kromozom 21 numaralıdır. Bu fazlalık genetik materyal de Down Sendromu ile sonuçlanmaktadır.

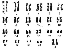
%95 Down Sendromu vakasında 21.ci kromozomun 3 kopyası vardır buna "trisomy 21" denir. Kromozomlar kan ve doku örnekleri üzerinde çalışılarak test edilir. Her bir kromozom belirlenir ve işaretlenerek büyükten küçüğe doğru numaralandırılır. Kromozomların bu görüntüsüne Karyotip denir.


Down Sendromuna Ne Sebep Olmaktadır?


Down sendromu genellikle hücre bölünmesindeki bir hatadan kaynaklanmaktadır. Bununla beraber, diğer iki tip kromozom anormallikleri olan Mosaisicism ve Translocation da daha az dereceli olmalarına reğmen Down sendromu ile ilişkilendirilmektedir. Hatalı hücre bölünmesi ile embriyoda sayisi 2 olması gerekirken, 3 tane 21 numarali kromozomdan bulunur. Gebe kalmadan önce yada sonrasında 21 nolu kromozom çifti ya spermde yada yumurtada hatalı bölünme oluşturur. Embriyo gelişirken bu extra kromozom vücuttaki her hücrede kopyalanır. İste bu hatalı bölünme olayı Down Sendromu vakalarının %95 inden sorumludur.

Down Sendromlu doğan çocukların %85 inin 35 yaş altı kadınların çocuklarında görülmüştür bunun nedeni olarak da genç kadınların doğurganlık yüzdelerinin daha yüksek olması olarak gösterilmektedir. Fakat yinede anne yaşının artması ile Down Sendromlu çocuk doğumununda arttığıda diğer bir bilgidir. Bu hatalı kromozomal olayın baba tarafından aktarılma olasılığı olmasına rağmen, kadın yumurtasında daha gebe kalma öncesinde hatalı hücre bölünmesi olabileceğide yada tüm bunların dışında bazı çevresel faktörlerin de konu ile ilişkili olabilecekleri araştırmalar sonucunda ortaya çıkmıştır. Bununla beraber yıllardır süren araştırmalar bize sendromun tam nedenini açıklayamamaktadır. Ebeveynlerin hamilelik öncesinde veya sonrasındaki aktiviteleri ile Down Sendromunun hiç bir tipinde bağlantı bulunmamaktadır.
Mosaicisim de yumurtlama sonrasında başlangıçta bölünen hücrelerden birinde 21. kromozomun hatali olmasindan kaynaklanir. Bu iki tip hücrenin bir mix i şeklindedir, bazıları 46 bazılarıda 47 kromozom taşır. Bu 47 kromozom taşıyan hücrelerde extra bir 21. kromozom vardır. Bu oluşan mozaik desen nedeni ilede mosaicism terminolojisi kulllanılarak tanımlanmıştır. Bu tip Down sendromuna daha az rastlanır ve ve sadece %1 veya %2 lik kısmı oluşturur.
Translokasyon ise diğer bir kromozomal problemdir.

Down Sendromunu Belirlemeye Yardımcı Doğum Öncesinde Yapılacak Bir Test Varmı?


Evet, hamile bayanlarda iki tip prosedür vardır: screening (eleme) testleri ve diagnostic (teşhis) testleri. İlk test fetus un Down Sendromlu olma olasılığını tahmin eder. İkincisi ise fetus un gerçekte sendroma sahip olup olmadığını teşhis eder. En çok kullanılan testler Triple Screen ve Alfa-fetoprotein Plus yöntemleridir. Bu testlerde kandaki belli maddelerin (alfa-fetoprotein, human korionik gonadropin, estriol) değerleri ölçülür ve annenin yaşıda göz önüne alınır. Bu testlerin hamileliğin 15 ve 20. haftalarında uygulanması tavsiye edilir. Bu testler ayrtınlı bir sonogram ile birlikte yapılırsa daha hassas olabilir, çünkü bu testlerin hassasiyeti sadece %60 dır.

Yeni Doğanlarda Down S. Nasıl Anlaşılır?


Bu teşhiste öncelikle bebeğin görünüşü ile ilgili bulgular ve Down Sendromunu belirleyen bazı fiziksel karakteristikler vardır. Düz bir yüz profili, basık nasal köprü, küçük burun, kulak şeklinde anormallik, avuç içinde gözlenen tek ve derin bir çizgi, birinci ve ikinci ayak ayakparmağı arasında normal dışı boşluk, dilin ağız büyüklüğüne oranla daha geniş olması gibi.

Down Sendromlu Bebeklerde Ne Tip Medikal Problemler Görülebilir?


Down Sendromlu çocuklarda bazı sağlık problemlerine daha sıklıkla rastlanmaktadır. Doğuştan kalp problemleri, enfeksiyonlara karşı hassasiyet, nefes alma ile ilgili bazı problemler, çocukluk lösemisi de daha sıklıkla ortaya çıkmaktadır. Bugün artık gelişen tıp dünyası ile burdaki bir çok sağlık problemi tedavi edilebilmektedir. Down Sendromu ile doğan bir insanın tahmini yaşam süresi de yaklaşık 55 yıldır. Down Sendromlu yetişkinlerde ise Alzheimer hastalığına yakalanma riski daha fazladır.

Kaynak: National Down Syndrome Society

Son düzenleyen Safi; 16 Haziran 2016 03:26
Pollyanna - avatarı
Pollyanna
Ziyaretçi
21 Mart 2008       Mesaj #2
Pollyanna - avatarı
Ziyaretçi
Ad:  1.jpg
Gösterim: 1924
Boyut:  6.0 KB
Down sendromu insanlarda en sık görülen kromozom anomalisi türüdür. Zeka geriliği yapması ve erken yaşta ölüme neden olması nedeniyle önde gelen toplumsal sorunlardan olan Down sendromu olgularının tümü olmasa da önemli kısmı, gebelik döneminde çeşitli tanı yöntemleriyle tanınabilmekte ve ailelere gebeliği devam ettirme ya da sonlandırma seçenekleri sunulabilmektedir.


Sponsorlu Bağlantılar

Down sendromu nedir?


Down sendromu ya da eski adlarıyla "mongolizm" veya "mongol bebek" ilk kez 1866 yılında Dr. John Langdon Down tarafından "özel bir tür zeka geriliği" olarak tarif edilmiş bir sendromdur. Moğol ırkına mensup insanlara çekik gözlülükleriyle benzemeleri nedeniyle Dr. Down bu bebekler için "mongoloid" terimini kullanmış, ancak daha sonra Asyalı bilim adamlarının baskısıyla "mongol" terimi tümüyle terkedilmiştir. Down sendromunun genetik kaynaklı olduğu baştan beri düşünülmesine karşın bu bebeklerin kromozom haritasının çıkarılması ancak 1959 yılında mümkün olmuştur. Daha sonraki yıllarda Down sendromunun translokasyona bağlı şekilleri ve mozaik varyantı da olabileceği keşfedilmiştir. Dünyada yaklaşık olarak 660 yenidoğan bebekten biri Down sendromu ile doğmaktadır. Bu haliyle Down sendromu insanlarda en sık görülen malformasyon (yapısal bozukluk) türüdür.

Nasıl oluşur?


İnsan, hücrelerinde 46 kromozom içeren bir canlıdır. Kromozomlar hem insan ırkına ait, hem de bulunduğu canlının bireysel özelliklerine ait bilgileri depolayan DNA yapılı moleküllerdir. Bu DNA molekülleri de vücudun işleyişiyle ilgili bir maddenin (enzimler ya da çeşitli proteinler gibi) üretimine ait bilgiler içeren farklı genleri taşır. Aşağıdaki resimde tümüyle normal bir insan kromozomu haritası görülmektedir (Cinsiyet kromozomları XX olduğundan bu bir kadına aittir).

Ad:  2.jpg
Gösterim: 1876
Boyut:  12.4 KB

Bu 46 kromozomun yarısı anneden yarısı da babadan gelir. İşte Down sendromu insanlarda normalde anneden bir, babadan da bir olmak üzere iki adet gelen 21. kromozom bilgisinin hücrede üçüncü kez yeralmasıyla (Trizomi 21= üç adet 21 numaralı kromozom) ortaya çıkan belirtiler topluluğudur. Bu fazladan kromozom yani DNA bilgisi hücresel seviyede çeşitli genlerin iki kez değil üç kez ifade bulması (overexpression) ve böylece çeşitli maddelerin üretiminde anormallikler oluşmasına neden olur. Bu hücresel düzeydeki anormallikler bebeğin vücuduna yansıdığında karşımıza Down sendromu belirtileri topluluğu çıkar. Aşağıdaki resimde Trizomi 21 yapısı taşıyan bir erkeğin kromozom haritası görülmektedir.

Ad:  4.jpg
Gösterim: 1926
Boyut:  12.6 KB

21. kromozom bilgisi hücreye fazladan nasıl girer?


21. kromozom bilgisi hücreye direkt olarak 21. kromozomun iki adet yerine üç adet olması şeklinde girebileceği gibi, bu bilgi ek bir kromozom şeklinde değil de başka bir kromozoma eklenmiş şekilde (en sık 14. kromozoma eklenmiş olarak) hücreye girebilir. Down sendromu olgularının en sık ortaya çıkma şekli (%95) üç adet 21 numaralı kromozom bulunması şeklinde olur. Bu durumda bireyin kromozom sayısı 47'dir ve kromozom haritasında 21. kromozomun üç adet olduğu gözlenir. %4 olguda ise 21. kromozom hücrede 14. kromozoma eklenmiş şekilde bulunur. Buna da translokasyona bağlı (yerdeğiştirmeye bağlı) Down sendromu adı verilir. Böyle bir bireyin toplam kromozom sayısı normal olmasına karşın 14. kromozomundan biri 21. kromozomu da taşıdığından diğerinden daha uzun görülür. Her iki durumda da sonuç aynıdır: "Fazladan" gelen 21. kromozom bilgileri hücresel seviyede yarattıkları olumsuz değişikliklerle Down sendromu ortaya çıkmasına neden olur.

21 nolu kromozom nasıl üç adet olur?


İnsanlarda bulunan 46 kromozomun 44'ü otozomal (bedensel yapı ve işlevlerle ilgili), 2 tanesi de cinsiyet kromozomudur (ön planda cinsiyete özgü işlevlerle ilgili kromozom). Erkeklerin cinsiyet kromozomları XY yapısında, kadınların ise XX yapısındadır. Üremeyi sağlayan hücrelerde kromozom sayısı yarıyarıyadır. Şöyle ki, spermatosit adı verilen erkek hücreleri olgunlaşma aşamasında mayoz bölünme adı verilen bölünme şekliyle ikiye bölünerek 23, X ya da 23, Y olmak üzere iki farklı yapıda kromozom taşıyan olgun ve döllemeye hazır sperm hücrelerine dönüşürler. Kadınlarda ise bu mayoz bölünme her ikisi de 23, X yapıya sahip olgun ve döllenmeye hazır oosit (yumurta hücresi) oluşumuyla sonuçlanır. Cinsel birleşme sonucunda döllemeyi Y kromozomu taşıyan spermlerden biri gerçekleştirdiğinde bebeğin cinsiyeti erkek, X kromozomu gerçekleştirdiğinde ise kadın olarak belirlenir. Down sendromu gelişiminde ise yukarıda anlatılan fizyolojik olaylar zincirinin kadın tarafındaki kısmı bozulur. Mayoz bölünmede herhangi bir nedenle tam ikiye ayrılma gerçekleşmez ve bir oosit hücresi mayozla ikiye bölündüğünde 21. kromozom, nondisjunction (ayrılmama) adı verilen olgu sonucunda bölümlerden birine hiç ulaşamaz. Yani kadının oositleri arasında 24 adet (21. kromozomun ikisini de alan) ve 22 adet (21. kromozomu hiç içermeyen) kromozom taşıyan anormal oositler gelişir. Sperm 22 adet kromozom taşıyan hücreyi döllediğinde gebelik daha fazla devam edemez ve düşükle sonuçlanır. Sperm 24 adet kromozom taşıyan hücreyi döllerse oluşan zigot (embriyo öncesi dönem) 47 adet kromozom taşıyan ve 21. kromozomu üç adet olan "Trizomi 21"yapıya sahip olur. Nondisjunction (ayrılmama) olayı anne yaşıyla birlikte artış gösterir. Bunun nedeni muhtemelen oositin (yumurta hücresinin) yaşlanmasıdır. Nondisjunction en sık 21. kromozomda meydana gelmekle beraber 18. kromozomda, 13. kromozom da ya da çok ender olarak diğer kromozomlarda meydana gelir. Her bir nondisjunction hücrelerde fazladan bir kromozom bilgisi demektir ve her bir fazla kromozom kendine özgü belirtiler ortaya çıkarır (Trizomi 18 ve Trizomi 13 gibi). Trizomi aslında sıklıkla düşükle sonuçlanır. Bu "doğal seleksiyon" adı verilen ve doğanın canlı hayatının "kalitesini" sürdürmesinde etkili olan bir süreçtir. Düşük, erken gebelik döneminde olabileceği gibi 20. haftaya kadar gecikebilir, ya da erken doğum ortaya çıkabilir. Bir kısım olgular ise doğuma kadar yaşamaya devam eder ve Down sendromlu bebekler olarak dünyaya gelirler.

Translokasyona bağlı Down sendromu


Dengeli translokasyon taşıyan bir anne ya da babadan bebeğe 21. kromozom bilgileri 3. kez geçtiğinde bebekte translokasyona bağlı Down sendromu ortaya çıkar. Bu tip Down sendromunun özelliği bebeğin kromozom sayısının 46 (yani normal) olmasına karşın 21. kromozomun 3. kopyasını taşımasıdır. Bebekte translokasyona bağlı Down sendromu spontan (kendiliğinden) olabileceği gibi translokasyon taşıyıcı bir anne ya da babadan da geçebilir. Genlerinde translokasyonu olan anne ya da babanın 45 kromozomu olmasına karşın, tüm genetik materyal translokasyon sonucu varlığını koruduğundan dış görünüşleri normaldir ve Down sendromu özellikleri taşımazlar.

Dengeli translokasyon nedir?


Dengeli translokasyon bireyin kromozomlarından birinin yerinden kalkıp başka bir kromozoma transloke olması ("göç etmesi ve eklenmesi") durumudur. Örnek olarak 21. kromozomun bir tanesinin yerini terkedip tümüyle 14 numaralı kromozomun bir tanesine eklenmesi verilebilir. Böyle bir birey dış görünüş olarak tümüyle normaldir, çünkü kromozom bilgisi eksik ya da fazla değildir. Ancak bu bireyin kromozom haritası çıkarıldığında bireyin 45 kromozom taşıdığı ve 14 numaralı kromozomunda bir eklentisi olduğu (21 numaralı kromozom) görülür. Böyle bir birey çocuk sahibi olduğunda bebeğe fazladan 21 numaralı kromozom içeren 14 numaralı kromozomunu verirse bebeğin kromozom sayısı normal olmasına karşın 21 numaralı kromozom bilgisini üç kez taşıması nedeniyle Down sendromu bulguları ortaya çıkar. Birey bebeğine anormal 14 numaralı kromozomunu geçirir ancak 21 numaralı kromozomunu vermezse bebek dengeli translokasyon taşıyıcılığını annesinden ya da babasından almış olur ve Down sendromu belirtileri göstermeden "taşıyıcı" olarak hayatını devam ettirir. Bebeğe normal olan 14 numaralı kromozom ve normal 21 numaralı kromozom geçerse bebek tümüyle normal doğar.

Down sendromlu bebeklerin dış görünüşleri nasıldır?


Bu bebekler doğduklarında tipik bir yüz görünümleri vardır. Baş nispeten ufaktır, artkafa yassı görünür, ense kısa ve geniştir. Burun kökü yassılaşmıştır, kulaklar kafada normalden düşük bir seviyede durur ve gözler birbirinden ayrık ve çekik görünür. Dil ağıza göre genellikle çok büyük olduğundan dışarı taşmış gözükür.
Ense cildi oldukça gevşek olduğundan ensede genellikle boğumlar vardır. Bu bebeklerin tonusları (vücut gerginliği) düşüktür. Parmaklar kısa ve tombuldur ve sıklıkla avuçiçlerinden birinde ya da ikisinde simian çizgisi adı verilen tek bir çizgi vardır. Ellerin serçe parmakları genellikle içe doğru kıvrımlıdır. Bunun nedeni bu parmağın orta falanksının az gelişmiş olmasıdır.

Down sendromlu bebeklerde hangi organ bozuklukları görülür?


Down sendromlu bebeklerde en sık kalp hastalıkları ve sindirim sistemi hastalıkları görülür. Kalp defektinin ağır olması bebeğin henüz doğmadan önce kalp yetmezliği nedeniyle tüm vücudunun şişmesine neden olabilir (hidrops). Bazı durumlarda sindirim sistemindeki defektler tıkanıklıklara neden olur ve bu durumların acil ameliyatla giderilmesi gerekebilir. Down sendromlu bebeklerde yenidoğan ya da çocukluk çağında lösemi (kan kanseri) daha sık gözlenir. Down sendromunun birçok aile için en üzücü özelliği bebek büyüdükçe barizleşen zeka geriliğidir. Bunun şiddeti bebekler arasında önemli farklılıklar gösterir. Bu bebeklerin erken dönemlerden itibaren özel bazı eğitim programlarına alınması ile başarılı sonuçlar alınabilmektedir.

Yenidoğanda nasıl tanı konur?


Klinik bulgularla yenidoğanda Down sendromu tanısı koymak genellikle kolaydır. Ancak kesin tanı kromozom analizi yapılarak konur. Kromozom analizi ayrıca Down sendromu'nun "hafif" şekli olan mozaik durumunun belirlenmesinde de önemlidir. Mozaik kromozom yapısına sahip bebeklerde kromozomların bir kısmı normal yapıda olduklarından sendromun tipik özelliklerinin bir kısmı gözlenmeyebilir ve zeka geriliği de daha hafif olur.

Son düzenleyen Safi; 16 Haziran 2016 02:37
Pollyanna - avatarı
Pollyanna
Ziyaretçi
23 Mart 2008       Mesaj #3
Pollyanna - avatarı
Ziyaretçi

Down Sendromu (Trizomi 21):

Ad:  Down Sendromu2.jpg
Gösterim: 2975
Boyut:  32.3 KB

Normalde her kromozomdan ikişer adet olması gerekirken üç adet olmasına trizomi denir. Trizomilerin %95'ifull trizomilerdir. Burada fazladan olan kromozom vücudun tüm hücrelerinde mevcuttur. Bunlar genellikle ölümcül olup hayatla bağdaşmazlar. Trizomi 21 yani Down sendromu ise yaşamla bağdaşabilen ve canlı doğumla sonuçlanabilmesine rağmen eşlik eden şiddetli bozukluklar nedeniyle yaşamlarının erken dönemlerinde kaybedilirler. Full trizomilerin yanında daha nadir görülen kısmi ( partial and mosaic trisomies) trizomiler de vardır. Mozaik trizomilerde hücrelerin bazı normal iken bazılarında fazladan kromozomal materyal vardır.

Trizomi 21 yani Down sendromu şiddetli zeka geriliğinin en sık nedenidir. Yenidoğan bebeklerde en sık görülen kromozom bozukluğudur. Down sendromu zeka geriliği, kalp bozuklukları, kas gerginliğinde azalma ve özgün bir yüz şekli ile karakterize bir tablodur. Kafa şeklinde önden basıklık, yüzde düzleşme, ense ödemi, kalbin ara bölmesinde delik, mide çıkış kısmındaki barsak darlığı, anne karnında bebeğin barsaklarında yoğunluk artışı, böbrekllerin toplayıcı idrar yollarında hafif genişleme, beyin omurilik dolaşma alanlarında hafif genişleme, kol ve bacaklarda kısalık, ayakta sandal görünümü, el parmaklarında üst üste binme ve 5. parmak orta kemikte kısalık anne karnında ultrason yardımı ile saptanabilen bulgulardır.
Down sendromlu bebeklerde ultrason ile görülebilen bazı anormal bulgular şu şekilde özetlenebilir:
  • brakisefali (kafada önden arkaya basıklık)
  • burun kemiğinde gelişmeme
  • ventrikulomegali (kafa içi omurilik dolaşım alanlarında genişleme)
  • koroid pleksus kisti (kafa içinde kistler)
  • geniş sisterna magna (beyincik alanında genişleme)
  • artmış ense pilisi kalınlığı, nukal ödem (ensede ödem)
  • kalp bozuklukları (intrakardiak ekojenik odak, VSD, ASD vs)
  • duodenal atrezi (mide çıkışında tıkanma), barsakların ultrasonda yoğun (ekojenik) görülmesi
  • hafif hidronefroz (böbreklerde genişleme)
  • böbrek şekil bozuklukları
  • hidrops fetalis (bebekte ödem gelişimi)
  • kısa femur (bacak kısalığı) ve humerus kısalığı
  • klinodaktili (parmaklarda üst üste binme), ayak baş parmağında sandal gap, elin 5. parmağı orta kemiğinde kısalık
Down sendromunun görülme sıklığı yaklaşık 700 canlı doğumda bir olup anne yaşının artması ile birlikte risk artar. Gebelikte tarama testleri ile bu gebeliklerin %86 - 97'si yakalanabilir.
Riskli hastalarda ise kesin doğruluğa sahip olan testler ile anne karnında erken dönemde tanı konabilir. Bu nedenle 35 yaş üzerindeki gebelerde kromozom analizi için CVS veya amniyosentez önerilmektedir. Bunun yanında Down sendromu vakalarının %80'i 35 yaş altındaki kadınlarda meydana geldiği unutulmamalı ve anne kanından yapılan tarama testlerini tüm gebeler yaş farkı gözetilmeksizin yaptırmalıdır.

Anne yaşı - Down Sendrom riski


20 yaşında - 1/1667
25 yaşında - 1/1250
30 yaşında - 1/952
35 yaşında - 1/378
40 yaşında - 1/106
45 yaşında - 1/30
49 yaşında - 1/11

Down Sendromlu çocuklar nasıl gelişir?


Fazla kromozom çocuğun gelişimini negatif olarak etkilemektedir. Bu durum her zaman da önemli olacaktır. Çünkü kromozom değişimini geri almak mümkün değildir. Fakat unutulmamalıdır ki bir çocuğun gelişimi sadece genetik faktörlere bağlı değildir. Çevre ve öğrenme faktörleri de çocuğun gelişiminde çok önemli ve etkilidir. Down Sendromlu çocukların ihtiyaçları diğer çocukların ihtiyaçlarından farklı değildir. Onlar da anne, baba ve kardeşleriyle birlikte olmaktan mutluluk duyarlar. Çevrelerini keşfetmek, oynamak, öğrenmek, gülmek isterler. Down Sendromlu bir çocuğun mümkün olduğu kadar sosyal bir ortamda büyütülmesi, gelişimi için son derece yararlıdır.
Çocuklar 1 yaşına kadar bazı önemli gelişmeler gösterirler. Bu gelişmeler anne ve baba tarafından sevinçle karşılanır. Örneğin ilk gülücük veya kendi başına oturması, emeklemesi, ilk adım vb. Down Sendromlu çocuklar birçok şeyi diğer çocuklardan daha geç öğrenir ve normal gelişme prosedürünü daha geç tamamlarlar. Fakat çocuğunuzun bunların hepsini öğreneceğine emin olabilirsiniz. Down Sendromlu çocuklar için aile içi yardımın yanı sıra geliştirme ve rehabilitasyon merkezlerinin yardımı da çok önemlidir.

Down Sendromlu çocuklar birçok olağanüstü işin üstesinden gelebiliyorlar. Fakat bu çocukların öğrenimleri ve gelişimleri engelli olmayan diğer çocuklar ile asla kıyaslanmamalıdır.

Beraber oynanan oyunlar tüm çocukların gelişmesi için önemlidir. Oyunların özellikle engelli çocuklar için daha büyük bir önemi vardır. Çocuk oyunları, tekerlemeler ve şarkılar anne ve çocuğa keyif verir. Çevre ile kurulan ilişkiler ise konuşma ve sosyal gelişmeyi destekleyerek, çocuğa, kendisine uygun olana katılma imkanı sağlar.

Diğer çocuklar gibi, Down Sendromlu çocukların da fazla oyuncağa ihtiyacı yoktur. Sadece hareket kabiliyetlerini arttıracak ve tecrübe kazandırabilecek oyuncak madde ve materyallerine ihtiyaçları vardır. Oyunda önemli bir diğer nokta ise başka çocukların da bulunmasıdır. Çevrenizde çocuğunuza birlikte oynayabileceği arkadaşlar arayın. Bunlar engelli olmayan çocuklar olabilir. Göreceksiniz bu çocuğunuzun çok hoşuna gidecektir.

Birlikte oynamaktan engelli olmayan çocuklar da zevk alacaktır. Çocuğun kardeşleri varsa doğal olarak en iyi oyun arkadaşları onlar olacaktır.

İlk yıllarda çocuğun gelişimi için bir destekleme programı oldukça önemlidir. Erken destekleme sayesinde çocuğunuz birçok şeyi daha erken öğrenebilir ve böylelikle kendisini de geliştirebilir.

Çocuğa uygulanan fizyoterapi özel bazı zorlukları azaltabilir ve hareket gelişimini hızlandırabilir.

Çocuğun gelişebilmesi için yapılan yardım, öğrenme ve geliştirme programları, tüm zihinsel ve gelişim zorluğu çeken engelli çocuklar için aynıdır. Fakat her çocuk tektir ve tek başına bir kişiliktir. Bu nokta asla unutulmamalıdır.

Erken destekleme programları çok olumlu sonuç vermektedir. Ancak bu tür programlar uygulanırken sevgiyle yaklaşmanın önemi büyüktür. Takdir edersiniz ki çocukların zorunlu bir çalışma programına kıyasla sevgiye ihtiyaçları çok daha fazladır. Ve anne-baba, eğitim konusunu gereğinden fazla ön plana çıkarırsa çocuğunun psikolojik dengesini olumsuz etkileyebileceğini unutmamalıdır. Unutulmaması gereken bir diğer nokta da Down Sendromlu çocukların her ne kadar birbirine çok fazla benzese de her birinin farklı yetenekleri ve kişilik özellikleri taşıdığıdır.

2 yaşında konuşmayı destekleme programları önem kazanacaktır. Çocuğun kendisini daha iyi ifade edebilmesi ve algılamasını kolaylaştırabilmek için çocuk şarkıları, kafiyeler, resimli kitaplar ve basit oyuncak materyalleri çok önem taşımaktadır. Fakat doğru bir seçim şarttır. Örneğin seçilen bir kitabın içinde yer alan resim ya da fotoğrafların tanınması ya da gündelik işlerde kullanılan türden olması daha iyi sonuç verecektir.

Down Sendromu ile bağlantılı birçok hastalık ve problem vardır. Çocukların üçte birinde kalp problemleri vardır. Birçoğunun da mide ve bağırsak, duyma ve görme problemlerinin yanı sıra yüksek bir enfeksiyon olasılığı da vardır. Bu tür sorunlarda erken teşhis ve uygun tedavi Down Sendromlu çocukların hayat şartlarını pozitif olarak etkilemektedir.
Son düzenleyen Safi; 16 Haziran 2016 03:27
Pollyanna - avatarı
Pollyanna
Ziyaretçi
25 Mart 2008       Mesaj #4
Pollyanna - avatarı
Ziyaretçi
Ad:  Down Sendromu7.jpg
Gösterim: 3085
Boyut:  30.6 KB

Down Sendromu


Eğer hamile iseniz bebek bekleyen anne adaylarının hepsinin en büyük ortak korkusunu çok büyük bir olasılıkla siz de yaşıyorsunuz demektir. Bu ortak korku bebeğin zeka özürlü olma olasılığıdır. Pek çok faktör bireyin zekasında rol oynar ancak bu nedelerden en iyi ve halk arasında en çok bilineni Down Sendromu ya da eski adıyla mongolizm'dir. Down sendromunun komuoyunda sık sık gündeme gelmesi ve adının geçmesi ve özellikle yaşı ileri annelerin bebeklerinde daha fazla görüldüğü bilgisi zeka geriliğini nerdeyse Down Sendromu ile özdeşleştirmiştir. Zeka özürü dışında pek çok yapısal ve fonkisyonel bozukluğu da bünyesinde barındıran Down sendromu ya da bilimsel adıyla "Trizomi 21" kromozomal bir bozukluktur.

Tarihçe


Trizomi 21 ile ilgili ilk bilimsel kayıt 1866'yılına aittir. O tarihte İngiliz bilim adamı John Langdon Down bazı ortak özellikleri paylaşan ve diğerlerinden şekil olarak faklı ve zeka problemleri olan bir grup çocuğu yayınladığı makalesinde ilk kez tanımladı. Down aynı zamanda tiroid hormonu azlığına bağlı olarak görülen kretenizmden farklı bir durumun da ilk kez altını çiziyordu. Ancak kendisi çok talihsiz bir benzetme yaptı ve bu türdeki çocukları yüz yapıları nedeniyle bir uzakdoğu ırkı olan Moğollara benzeterek "Mongoloid idiotlar" olarak isimlendirdi.

Yirminci yüzyılın ilk yarısında Down sendromunun nedenleri konusunda çok fazla spekülasyon yapılmaktaydı. Bu durumun kromozomal anormalliklere bağlı olabileceği fikrini ilk kez 1930 yılında Waardenberg ve Bleyer ileri sürdüler ancak bunu kanıtlamak 1959 yılında çalışmalarını birbirinden habersiz olarak sürdüren iki ayrı bilim adamı; Jerome Lejeune ve Patricia Jacobs'a nasip oldu. Bu iki araştırmacı Down sendromunda 21. kromozomdan 2 tane olması gerekirken 3 tane olduğunu gösterdiler. Sendromun diğer nedenleri olan transloklasyon ve mozaisizmin ortaya konması ise 3 yıl daha aldı.

Bu bilgilerin ortaya konması zaten gergin ve kızgın olan Asyalı genetikçileri harekete geçirdi ve bilimsel arenada yarattıkları baskı sonucu mongolizm tanımlaması bilimsel literatürden kaldırıldı ve bunun yerine Down sendromu ismi 1970'li yıllardan itibaren kullanılmaya başlandı.

Down sendromu nasıl olur?


Tüm canlı organizmalar gibi insan da hücrelerden oluşmuştur. Her hücrenin içinde tıpkı organlar gibi organel adı verilen yapılar bulunur. Bu yapıların her birinin hücre içinde farklı görevleri bulunur. Hücre organallerden biri de çekirdektir. Hücre çekirdeği içerisinde DNA yani genetik materyali barındırır. Genler bireyin kalıtsal ve diğerlerinden farklı olmasını sağlayan özelliklerini taşırlar. Belirli genler bir araya gelerek bir grup oluştururlar. Bu gruplara kromozom adı verilir. İnsanda 23 çift olmak üzere toplam 46 kromozom vardır. Bunların yarısı anneden diğer yarısı ise babadan gelir. 22 kromozom kadın ve erkelerde aynıdır.Bu kromozomlar bedensel faaliyetleri kontrol ederler ve otozomal kromozomlar olarak adlandırılırlar. 23. kromozom ise cinsiyeti belirlediğinden seks (cinsiyet) kromozomu olarak isimlendirilir. Kromozomlar belirli bazı işlemlerden geçirilerek özel mikroskoplar altında görülebilir hale getirilebilirler. Buna karyotip adı verilir. Normal bir erkeğin karyotipi 46 XY, kadının ki ise 46 XX'dir. Bir kromozom çiftindeki anneden ve babadan gelen kromozomlar aynı geni kodlarlar. Örneğin belirli bir işlevi gerçekleştiren genin 1. kromozomda olduğunu düşünelim. Bu işlev ile ilgili anneden ve babadan gelen genlerin ikiside 1. kromozom üzerinde yer alır.Bu bilgiler aynı geni kodlamasına rağmen farklı olabilirler. Bu farklılığa allel adı verilir. Örneği somutlaştırmak gerekirse göz rengi bir gendir. Ancak mavi, yeşil, kahverengi alleldir.

Hücreler bölünerek çoğalırlar. Doğada iki tür bölünme vardır. Mitoz bölünme adı verilen ilk türde bir hücreden birbirinin aynısı iki hücre ortaya çıkar. Erkekte testis ve kadındaki yumurtalıklarda yer alan üreme hücreleri dışında vücuttaki tüm hücreler bu mitoz bölünme ile çoğalırlar ve 23 çift olmak üzere toplam 46 kromozom içerirler. Testis ve overlerde ise durum farklıdır. Burada mayoz bölünme olur ve hücrelerin genetik materyalleri ikiye ayrılır. Yani sperm ve yumurta 23 çift değil 23 tek kromozom içerir. Sperm hücresi 22 otozomal kromozomla birlikte X yada Y kromozomu içerirken, kadındaki döllenmeye hazır yumurta hücresi 22 otozomal kromozom ve bir adet X kromozomu içerir. Sonuçta döllenme olup sperm ile yumurta birleştiğinde spermden gelen 23 tek kromozom ile yumurtadan gelen 23 tek kromozom birleşir ve ortaya çıkan embryoda 23 çift yani 46 kromozom olur.
Down sendromunda hücrelerde 46 değil 47 kromozom vardır ve fazla olan kromzom 21. kromzomdur. Başka bir değişle 21. kromozomdan 2 değil 3 tane vardır.

Hücre bölünmesi sırasında pekçok hata ortaya çıkabilir. Mayoz bölünme sırasında kromozom çiftleri birbirinden uzaklaşarak farklı hücrelere dağılırlar. Buna ayrılma ya da disjunction adı verilir. Bazı durumlarda bir çift kromozom ayrılmaz ve kromozom çifti beraberce bölünen hücrelerden birine geçer. Nondisjunction ya da ayrılmama adı verilen bu durum olduğunda bölünme sonrası ortaya çıkan hücrelerden birinde 22 kromozom varken diğerinde 24 kromozom bulunur. Eğer bu eksik ya da fazla sayıda kromozom taşıyan hücre döllenme olayına katılır ve normal sayıda kromozom içeren bir sperm ya da yumurta ile döllenirse sonuçta ortaya çıkan embryoda normalden farklı sayıda kromozom olacaktır. Ayrılmama en sık 21. kromozomda olur. 2 tane 21. kromozom içeren 24 kromozomlu bir üreme hücresi normalde olması gerektiği gibi 1 tane 21. kromozom taşıyan bir üreme hücresi ile birleştiğinde embryoda 3 tane 21. kromozom bulunacakır. Bu durum trizomi 21 yani Down sendromudur. Down Sendromu olgularının %95'inde altta yatan neden işte bu ayrılmamadır. Tam tersi durumda hiç 21. kromozom içermeyen 22 kromozomlu bir sperm ya da yumurta normal yapıda bir sperm ya da yumurta ile birleştiğinde sadece 1 adet 21. kromozomu olan toplam 45 kromozomlu bir embryo oluşur. Buna monozomi adı verilir. Monozomi varlığında gebelik genelde düşükle sonuçlanır.

Ayrılmama en sık 21. kromozomda görülmekle birlikte 13 v 18 kromozomlarda hatta çok nadir olarak diğerlerinde de görülebilir.
Yapılan çalışmalar ayrılamamaya bağlı Down sendromu olgularının %90'ında iki tane 21. kromozom taşıyan anormal hücrenin sperm değil yumurta hücresi olduğunu göstermektedir. Yumurtada meydana gelen ayrılmamanın nedeni bilinmemekle birlikte anne yaşı ile kuvvetli bir ilişkisi vardır. Genetik bilimindeki gelişmeler konuyla ilgili pekçok araştırmanın yapılmasına da olanak sağlamıştır. Halen daha ayrılmamanın nedenleri ve zamanı ile ilgili çok sayıda araştırma devam etmektedir.

Trizomi 21 olgularının %1-4'ünde durum daha farklıdır. Fazla olan 21. kromozom serbest halde değil başka bir kromozoma eklenmiş halde bulunur. Bu duruma Robertsonian Translokasyon'u (yer değiştirmesi) adı verilir. Genelde 14 ve 21. kromozomlar arasında görülür. Ondördüncü kromozomda bir kırık oluşur ve fazla olan 21. kromozom buraya yapışır. Karyotip olarak bireyde 46 kromozom olmasına karşın 14. kromozom normalden daha büyüktür. Bazen 21. kromozomun tamamı değil bir kısmı ayrışmaz ve 14. kromozoma eklenir. Bu duruma kısmı (parsiyel) trizomi 21 adı verilmektedir. Translokasyon kalıtsal olabilir bu nedenle translokasyon saptanan bireylerin anne babaları da incelenmeli, karyotip analizi yapılarak taşıyıcı olup olmadıkları belirlenmelidir.

Bir diğer Down sendromu türü de mosaisizmdir. Bu bireylerin hücre yapıları birbirinden farklıdır. Bazı hücreler normal sayıda kromozom içerirken, bazı hücrelerde trizomi 21 bulunur. Hücresel mosaisizmde aynı türdeki değişik hücrelerde farklı yapıda hücreler bulunur. Örneğin deri hücrelerinin bazısı normal bazısı anormaldir. Doku mosaisizminde ise farklı hücre gruplarının tamamı anormaldir. Örneğin kan hücrelerinin tamamı normalken, deri hücrelerinin tamamı anormaldir.

Bunlar dışında bir de dengeli translokasyon vardır. En sık görülen dengeli translokasyon varlığında bireyin 21 numaralı kromozomlarından birisi 14 numaralı kromozomlarından birsis ile birleşir. Sonuçta genetik materyal tam olmasına karşın kromozom sayısı 45'dir. Bu birey çocuk sahibi olduğunda 3 olasılık mevcuttur:
  1. Eğer bebeğe fazladan 21. kromzomu taşıyan 14. kromozom ve normal olan 21. kromozom geçer ise bebekte diğer ebeveynden gelen 1, translokasyonlu ebeveynden gelen 1 ve hatalı 14. kromozomdan gelen 1 olmak üzere toplam 3 tane 21. kromozom bulunur ve bebekte Down sendromu görülür.
  2. Eğer bebeğe hatalı 14. kromozom geçer ve 21. kromozom geçmez ise bebekte diğer ebeveynden gelen 1, translokasyonlu ebeveynden gelen 0 ve hatalı 14. kromozomdan gelen 1 olmak üzere toplam 2 tane 21. kromozom bulunur. 21. kromozomlardan birisi 14. kromozom üzerinde bulunduğundan bebek ebeveynlerinden birisi gibi dengeli translokasyon taşıyıcısı olur.
  3. Eğer bebeğe normal olan 14. kromozom ile birlikte normal olan 21. kromozm geçer ise bebekte diğer ebeveynden gelen 1, translokasyonlu ebeveynden gelen 1 olmak üzere toplam 2 tane normal 21. kromozom bulunur ve bebek tamamen normal olarak dünyaya gelir.

Fazla kromozom olursa ne olur?


Kromozomların genleri taşıdığını belirtmiştik. Genler vücudumuzun işlev görmesi için gerekli maddelerin yapımını kontrol ederler. Bu işleve genin kendisini ifade etmesi (expression) adı verilir. Trizomi 21 varlığında üçüncü kez tekrarlanan genler, genin kendisini normalden fazla ifade etmesine yani overexpression'a ve sonuçta bazı maddelerin gerektiğinden fazla üretilmesine neden olur.

Pek çok gen için "kendini fazla ifede etme" sorun yaratmaz. Vücudun düzenleyici mekanizmaları bu fazla ifadenin üstesinden gelebilir ancak 21. kromozom ve taşıdığı genler için durum farklıdır.

Hangi genleri taşımaktadır sorusu 21. kromozom keşfedildiği günden beri bilim adamlarının zihnini kurcalamaktadır. Yıllardır devam eden çalışmalar Down sendromunun ortaya çıkması için 21 numaralı kromozomun tamamının değil sadece bir kısmının 3 adet bulunmasının yeterli olduğunu ortaya koymuştur. Buna Down sendromu için kritik bölge adı verilir. Bu kritik bölge tek bir alan değildir Gerçekte birbirinden ayrı noktalardaki genleri ifade eder. 21 numaralı kromozomun yaklaşık 200-250 geni taşıdığı sanılmaktadır ve taşıdığı gen sayısına göre bakıldığında insandaki en küçük kromozomdur. Bununla birlikte sadece 20-50 genin Down sendromu gelişiminde rol aldığı tahmin edilmektedir. Bu genlerden hangisinin ne işe yaradığı ve Down sendromunda rol alıp almadığı spekülatiftir.
Down sendromu gelişiminde yer aldığı tahmin edilen genler şunlarıdır.
Gen adı Fonksiyonu veya fazlalığı durumunda görülebilecek bulgular
Bunlar dışında APP, GLUR5, S100B, TAM, PFKL adı verilen genlerin de Down sendromu ile ilgili olabileceği düşünülmektedir. Ancak bugüne kadar hiçbir genin Down Sendromu ile olan ilişkisinin kanıtlanamadığı unutulmamalıdır.

Down sendromu ile ilgili olarak bir başka dikkat çekici nokta ise bu hastalığa sahip bireylerde çok değişik anomalilerin görülebilmesidir. Bireylerin zeka düzeyleri ve öğrenme kapasiteleri değişkendir. Bazı bebeklerde kalp anomalileri görülürken bazılarında görülmez, bazılarında epilepsi, hipotiroidi, celiac hastalığı gibi hastalıklar ortaya çıkarken bazılarında çıkmaz. Bu değişik durumların olası nedenlerinden birincisi hangi genin 3 kere tekrarladığı olabilir. Daha önce belirtildiği gibi genler allel adı verilen değişik şekillerde bulunurlar. Genin kendini fazla ifade etmesi ile ilgili olarak oraya çıkan bulgular hangi allelin fazla olduğuna bağlı olarak değişebilir. Bir diğer neden ise penetrans olarak adlandırılan durum olabilir. Eğer bir allel bazı bireylerde belirli bir durumun görülmesine neden oluyor diğerlerinde ise olmuyorsa buna değişken penetrans adı verilir ve değişken penetrans trizomi 21'deki durumu açıklayabilir: Alleller ona sahip olan bireylerde aynı etkiyi yaratmıyor olabilir.

Yenidoğanda down sendromu tanısı nasıl konur?


Down sendromlu bebekler sanılanın aksine birbirlerine benzemezler. Tüm çocuklar gibi genetik özelliklerini aldıkları anne ve babalarına benzerler. Bununla birlikte bazı ortak özellikleri de taşırlar. Hamilelik takipleri sırasında tanısı konulmamış down sendromlu bir bebek dünyaya geldiğinde dış görüntüsünden şüphelenilerek genetik analiz yapılır ve tanıya ulaşılır.

Yenidoğan bir bebekte down sendromundan şüphelenmek için pek çok fiziksel özellik vardır. Ancak burada dikkat edilmesi gereken nokta bu özelliklerin hemen hepsinin daha nadir olarak tamamen normal bireylerde de görülebileceğidir. Bu nedenle sadece fiziksel özelliklere bakılarak tanı asla konmaz, konamaz ve konmamalıdır. Kesin tanı sadece ve sadece kromozom analizi ile konur.

Down sendromunda en sık karşılaşılan fiziksel özellikler şunlardır:
  • Kaslarda gerginliğin az olması (hipotoni)
  • Düz ve basık bir yüz yapısı, küçük burun
  • Burun kökünün basık olması
  • Gözün iç kenarlarında tipik görünüşlü deri kıvrımları (epikantus)
  • Anormal yapılı ve düşük yerleşimli kulak kepçeleri
  • El ayasını ortana ikiye bölen tek bir çizgi (Simian çizgisi)
  • Hiperfileksibilite (eklemlerin normalden fazla miktarda açılabilmesi)
  • El küçük parmağında ortadaki kemiğin olmaması
  • Ayak başparmağı ve ikinci parmak arasında ayrıklık
  • Dilin ağıza oranla çok büyük olması

Önceden de belirttiğimiz gibi bu anomalilerin herbiri çok daha düşük oranlarda normal bireylerde de görülebilir. Örneğin yanda resimi görülen Simian çizgisi Down sendromlu bireylerin yaklaşık %50'sinde bulunurken normal genetik yapıya sahip bireylerin sadece %1-2'sinde vardır. Benzer şekilde el baş parmağının geriye doğru aşırı bükülebilmesi Down sendromluların %77'sinde normal bireylerin ise %28'inde karşılaşılan bir durumdur.
Öte yandan Down sendromlu bireylerde bazı sağlık sorunlarına daha fazla rastlanır. Bireylerin yaklışık %60'ında işitme sorunları görülür. Yüzde 40 olguda doğumsal kalp anomalileri bulunur. Sindirim sistemi ile ilgili problemler de normalden daha fazladır. Beslenme de zaman zaman problem olabilir. Ergenlik ve erişkinlik döneminde obesite görülebilir. Tiroid fonksiyon bozukluklarına da sıkça rastlanır.

Down sendromunda görülen zeka geriliğine bağlı olarak motor gelişimde yavaşlama nadir değildir. Bebekler akranlarından daha geç yürümeye ve konuşmaya başlarlar.

Down sendromunda yaşam beklentisi ne kadardır?


Down sendromlu bireylerde beklenen yaşam süresi normalden 10 ile 20 yıl daha azdır bununla birlikte 80 yaşına kadar hayatını devam ettirenler de vardır.

Down sendromunda çocukluk çağı lösemilerine (kan kanseri) daha sık rastlanır. Kesin bir kanıt olmamakla birlikte bu bireylerde genç yaşta Alzheimer hastalığının (erken bunama) görülme oranlarında da artış olduğu sanılmaktadır.

Down sendromlu bireylerin çocukları olur mu?


Teorik olarak down sendromlu kadınların yarısı fertil yani üreme potansiyeline sahiptir. Erkekler için ise durum daha farklıdır. Bugüne kadar down sendromlu erkeklerden olan sadece 1 gebelik olgusu bilinmektedir. Bu olguda annesi de down sendromlu olan erkeğin eşi hamile kalmış ancak hamilelik düşük ile sonuçlanmıştır.

Down sendromu tedavi edilebilir mi?


Hayır. Herhangi bir canlının genetik yapısını değiştirmek günümüzde mümkün değildir. Bu nedenle Down sendromunun tedavisi yoktur. Ancak bu bireyler yakın ilgi ve özel eğitim programları ile yaşamlarını rahatlıkla idame ettirebilirler pek çok aktivitede bulunabilirler. Down sendromlu bir aktörün ödül aldığını hatırlatmakta fayda var.

Down sendromunun anne karnında tanısı mümkün mü?


Evet. Bu amaçla uygulanan 2 tür test vardır. Tarama testleri ve tanısal testler.
Tarama testleri kesin tanı koydurmayan ancak down sendromu açısından riskli bebekleri diğerlerinden ayıran kolay ve invazif olmayan testlerdir.

Tanısal testlerin halk arasında en iyi bilineni üçlü testtir. Burada anneden alınan kan örneğinde 3 ayrı maddenin miktarlarına bakılarak bir risk belirlemesi yapılır. Risk kabul edilebilir sınırların üzerine çıktığında tanısal testlere geçilir.

Bir başka tanısal test ise gebeliğin 11-14 haftalarında bebeğin ense kalınlığının ölçülmesidir. Kalınlığın belirli bir miktarın üzerinde olması down sendromu açısıdan oldukça önemlidir.
Güncel olan ve giderek popülarite kazanan bir başka tarama testi ise ikili testtir. Üçlü test gibi anne kanında bazı maddelerin miktarlarına bakılarak risk tayini yapılır.

Tarama testleri ile Down sendromlu bebeklerin %90'ına yakını saptanır ve ileri testler ile tanı doğrulanır.

Öte yandan ultrasonografi incelemeleri de Trizomi 21 açısından riskli bebekleri ayırdetmede önemli ipuçları vermektedir. İncelemelerde kalp anomalisi başta olmak üzere anomali saptanan olgularda tanısal testler önerilebilir. Yine ultrason incelemelerinde bebeğin kalça ve diz eklemi arasında bulunan ve femur adı verilen kemiğin olması gerekenden kısa olması, el küçük parmaklarında ikinci kemiğin olmaması gibi bulguar down sendromu lehine değerlendirilmelidir. Günümüzde giderek yaygınlaşan 3 boyutlu ultrasonografi ciazları sayesinde bebeğin el ayasındaki Simian çizgisi bile görülebilir.

Down sendromundaki ultrason bulguları
  • Rahim içi gelişme geriliği
  • Beyindeki ventriküllerde genişleme
  • Beyinde koroid pleksus kisti
  • Ense kalınlığında artma
  • Kistik higroma
  • Kalp anomalileri
  • Barsak anomalileri
  • Oniki prmak barsağında tıkanıklık
  • Böbrek pelvisinde genişleme
  • Kol ve bacak kemiklerinde kısalık
  • El küçük parmağında hipoplazi
  • İki damarlı göbek kordonuDown sendromundaki ultrason b
Tanısal testler amniyosentez ve kroyon villus örneklemesidir.
Modern gebelik takibinde tarama testlerinin her hamile kadına yapılması gereklidir.

Down sendromu sadece yaşı ileri annelerin bebeklerinde mi görülür?


Down sendromlu bebeklerin sadece yaşı ileri anne adaylarında görüldüğü inancı sık yapılan bir yanlıştır. Bu bilgi doğru olmakla birlikte eksiktir. Down sendromu görülme riski artan anne yaşı ile birlikte yükselir. Dünyadaki tüm gebeliklerin sadece %5-8'i otuzbeş yaş üstündeki kadınlarda olmasına rağmen Down sendromlu bebeklerin %20'i bu gruptan dünyaya gelir. Bu durumun doğal sonucu olarak Trizomi 21 yani Down sendromu olan bebeklerin %80'i 35 yaşından genç annlerin hamileliklerinden doğmaktadırlar. Kadın yaşı 35'e ulaştığında amniyosentez sonrası düşük görülme olasılığı ile bebeğin down sendromlu olma olasılığı birbirine çok yaklaşır. Amniyosentez önermek için belirlenen 35 yaşı sınırının nedeni budur. Yaşınız kaç olursa olsun hamilelik takipleriniz sırasında doktorunuzdan tarama testlerini yapmasını istemelisiniz.
Son düzenleyen Safi; 16 Haziran 2016 03:28
Pollyanna - avatarı
Pollyanna
Ziyaretçi
9 Nisan 2008       Mesaj #5
Pollyanna - avatarı
Ziyaretçi

Down Sendromu


Down sendromu insanlarda en sık görülen kromozom anomalisi türüdür. Zeka geriliği yapması ve erken yaşta ölüme neden olması nedeniyle önde gelen toplumsal sorunlardan olan Down sendromu olgularının tümü olmasa da önemli kısmı, gebelik döneminde çeşitli tanı yöntemleriyle tanınabilmekte ve ailelere gebeliği devam ettirme ya da sonlandırma seçenekleri sunulabilmektedir.
Ad:  Down Sendromu6.jpg
Gösterim: 2419
Boyut:  24.0 KB


Down sendromu nedir?


Down sendromu ya da eski adlarıyla "mongolizm" veya "mongol bebek" ilk kez 1866 yılında Dr. John Langdon Down tarafından "özel bir tür zeka geriliği" olarak tarif edilmiş bir sendromdur. Moğol ırkına mensup insanlara çekik gözlülükleriyle benzemeleri nedeniyle Dr. Down bu bebekler için "mongoloid" terimini kullanmış, ancak daha sonra Asyalı bilim adamlarının baskısıyla "mongol" terimi tümüyle terkedilmiştir.

Down sendromunun genetik kaynaklı olduğu baştan beri düşünülmesine karşın bu bebeklerin kromozom haritasının çıkarılması ancak 1959 yılında mümkün olmuştur. Daha sonraki yıllarda Down sendromunun translokasyona bağlı şekilleri ve mozaik varyantı da olabileceği keşfedilmiştir.

Dünyada yaklaşık olarak 660 yeni doğan bebekten biri Down sendromu ile doğmaktadır. Bu haliyle Down sendromu insanlarda en sık görülen malformasyon (yapısal bozukluk) türüdür.

Nasıl oluşur?


İnsan, hücrelerinde 46 kromozom içeren bir canlıdır. Kromozomlar hem insan ırkına ait, hem de bulunduğu canlının bireysel özelliklerine ait bilgileri depolayan DNA yapılı moleküllerdir. Bu DNA molekülleri de vücudun işleyişiyle ilgili bir maddenin (enzimler ya da çeşitli proteinler gibi) üretimine ait bilgiler içeren farklı genleri taşır. Aşağıdaki resimde tümüyle normal bir insan kromozomu haritası görülmektedir (Cinsiyet kromozomları XX olduğundan bu bir kadına aittir).
Bu 46 kromozomun yarısı anneden yarısı da babadan gelir. İşte Down sendromu insanlarda normalde anneden bir, babadan da bir olmak üzere iki adet gelen 21. kromozom bilgisinin hücrede üçüncü kez yer almasıyla (Trizomi 21= üç adet 21 numaralı kromozom) ortaya çıkan belirtiler topluluğudur. Bu fazladan kromozom yani DNA bilgisi hücresel seviyede çeşitli genlerin iki kez değil üç kez ifade bulması (overexpression) ve böylece çeşitli maddelerin üretiminde anormallikler oluşmasına neden olur. Bu hücresel düzeydeki anormallikler bebeğin vücuduna yansıdığında karşımıza Down sendromu belirtileri topluluğu çıkar. Aşağıdaki resimde Trizomi 21 yapısı taşıyan bir erkeğin kromozom haritası görülmektedir.

21. kromozom bilgisi hücreye fazladan nasıl girer?


21. kromozom bilgisi hücreye direkt olarak 21. kromozomun iki adet yerine üç adet olması şeklinde girebileceği gibi, bu bilgi ek bir kromozom şeklinde değil de başka bir kromozoma eklenmiş şekilde (en sık 14. kromozoma eklenmiş olarak) hücreye girebilir.

Down sendromu olgularının en sık ortaya çıkma şekli (%95) üç adet 21 numaralı kromozom bulunması şeklinde olur. Bu durumda bireyin kromozom sayısı 47'dir ve kromozom haritasında 21. kromozomun üç adet olduğu gözlenir.

%4 olguda ise 21. kromozom hücrede 14. kromozoma eklenmiş şekilde bulunur. Buna da translokasyona bağlı (yerdeğiştirmeye bağlı) Down sendromu adı verilir. Böyle bir bireyin toplam kromozom sayısı normal olmasına karşın 14. kromozomundan biri 21. kromozomu da taşıdığından diğerinden daha uzun görülür.

Her iki durumda da sonuç aynıdır: "Fazladan" gelen 21. kromozom bilgileri hücresel seviyede yarattıkları olumsuz değişikliklerle Down sendromu ortaya çıkmasına neden olur.

21 nolu kromozom nasıl üç adet olur?


İnsanlarda bulunan 46 kromozomun 44'ü otozomal (bedensel yapı ve işlevlerle ilgili), 2 tanesi de cinsiyet kromozomudur (ön planda cinsiyete özgü işlevlerle ilgili kromozom). Erkeklerin cinsiyet kromozomları XY yapısında, kadınların ise XX yapısındadır.

Üremeyi sağlayan hücrelerde kromozom sayısı yarıyarıyadır. ?öyle ki, spermatosit adı verilen erkek hücreleri olgunlaşma aşamasında mayoz bölünme adı verilen bölünme şekliyle ikiye bölünerek 23, X ya da 23, Y olmak üzere iki farklı yapıda kromozom taşıyan olgun ve döllemeye hazır sperm hücrelerine dönüşürler. Kadınlarda ise bu mayoz bölünme her ikisi de 23, X yapıya sahip olgun ve döllenmeye hazır oosit (yumurta hücresi) oluşumuyla sonuçlanır.

Cinsel birleşme sonucunda döllemeyi Y kromozomu taşıyan spermlerden biri gerçekleştirdiğinde bebeğin cinsiyeti erkek, X kromozomu gerçekleştirdiğinde ise kadın olarak belirlenir.

Down sendromu gelişiminde ise yukarıda anlatılan fizyolojik olaylar zincirinin kadın tarafındaki kısmı bozulur. Mayoz bölünmede herhangi bir nedenle tam ikiye ayrılma gerçekleşmez ve bir oosit hücresi mayozla ikiye bölündüğünde 21. kromozom, nondisjunction (ayrılmama) adı verilen olgu sonucunda bölümlerden birine hiç ulaşamaz. Yani kadının oositleri arasında 24 adet (21. kromozomun ikisini de alan) ve 22 adet (21. kromozomu hiç içermeyen) kromozom taşıyan anormal oositler gelişir. Sperm 22 adet kromozom taşıyan hücreyi döllediğinde gebelik daha fazla devam edemez ve düşükle sonuçlanır. Sperm 24 adet kromozom taşıyan hücreyi döllerse oluşan zigot (embriyo öncesi dönem) 47 adet kromozom taşıyan ve 21. kromozomu üç adet olan "Trizomi 21"yapıya sahip olur.

Nondisjunction (ayrılmama) olayı anne yaşıyla birlikte artış gösterir. Bunun nedeni muhtemelen oositin (yumurta hücresinin) yaşlanmasıdır. Nondisjunction en sık 21. kromozomda meydana gelmekle beraber 18. kromozomda, 13. kromozom da ya da çok ender olarak diğer kromozomlarda meydana gelir. Her bir nondisjunction hücrelerde fazladan bir kromozom bilgisi demektir ve her bir fazla kromozom kendine özgü belirtiler ortaya çıkarır (Trizomi 18 ve Trizomi 13 gibi).

Trizomi aslında sıklıkla düşükle sonuçlanır. Bu "doğal seleksiyon" adı verilen ve doğanın canlı hayatının "kalitesini" sürdürmesinde etkili olan bir süreçtir. Düşük, erken gebelik döneminde olabileceği gibi 20. haftaya kadar gecikebilir, ya da erken doğum ortaya çıkabilir. Bir kısım olgular ise doğuma kadar yaşamaya devam eder ve Down sendromlu bebekler olarak dünyaya gelirler.

Translokasyona bağlı Down sendromu


Dengeli translokasyon taşıyan bir anne ya da babadan bebeğe 21. kromozom bilgileri 3. kez geçtiğinde bebekte translokasyona bağlı Down sendromu ortaya çıkar. Bu tip Down sendromunun özelliği bebeğin kromozom sayısının 46 (yani normal) olmasına karşın 21. kromozomun 3. kopyasını taşımasıdır.

Bebekte translokasyona bağlı Down sendromu spontan (kendiliğinden) olabileceği gibi translokasyon taşıyıcı bir anne ya da babadan da geçebilir. Genlerinde translokasyonu olan anne ya da babanın 45 kromozomu olmasına karşın, tüm genetik materyal translokasyon sonucu varlığını koruduğundan dış görünüşleri normaldir ve Down sendromu özellikleri taşımazlar.

Dengeli translokasyon nedir?


Dengeli translokasyon bireyin kromozomlarından birinin yerinden kalkıp başka bir kromozoma transloke olması ("göç etmesi ve eklenmesi") durumudur. Örnek olarak 21. kromozomun bir tanesinin yerini terkedip tümüyle 14 numaralı kromozomun bir tanesine eklenmesi verilebilir. Böyle bir birey dış görünüş olarak tümüyle normaldir, çünkü kromozom bilgisi eksik ya da fazla değildir. Ancak bu bireyin kromozom haritası çıkarıldığında bireyin 45 kromozom taşıdığı ve 14 numaralı kromozomunda bir eklentisi olduğu (21 numaralı kromozom) görülür.

Böyle bir birey çocuk sahibi olduğunda bebeğe fazladan 21 numaralı kromozom içeren 14 numaralı kromozomunu verirse bebeğin kromozom sayısı normal olmasına karşın 21 numaralı kromozom bilgisini üç kez taşıması nedeniyle Down sendromu bulguları ortaya çıkar. Birey bebeğine anormal 14 numaralı kromozomunu geçirir ancak 21 numaralı kromozomunu vermezse bebek dengeli translokasyon taşıyıcılığını annesinden ya da babasından almış olur ve Down sendromu belirtileri göstermeden "taşıyıcı" olarak hayatını devam ettirir. Bebeğe normal olan 14 numaralı kromozom ve normal 21 numaralı kromozom geçerse bebek tümüyle normal doğar.

Down sendromlu bebeklerin dış görünüşleri nasıldır?


Bu bebekler doğduklarında tipik bir yüz görünümleri vardır. Baş nispeten ufaktır, artkafa yassı görünür, ense kısa ve geniştir. Burun kökü yassılaşmıştır, kulaklar kafada normalden düşük bir seviyede durur ve gözler birbirinden ayrık ve çekik görünür. Dil ağıza göre genellikle çok büyük olduğundan dışarı taşmış gözükür.

Ense cildi oldukça gevşek olduğundan ensede genellikle boğumlar vardır. Bu bebeklerin tonusları (vücut gerginliği) düşüktür. Parmaklar kısa ve tombuldur ve sıklıkla avuçiçlerinden birinde ya da ikisinde simian çizgisi adı verilen tek bir çizgi vardır. Ellerin serçe parmakları genellikle içe doğru kıvrımlıdır. Bunun nedeni bu parmağın orta falanksının az gelişmiş olmasıdır.

Down sendromlu bebeklerde hangi organ bozuklukları görülür?


Down sendromlu bebeklerde en sık kalp hastalıkları ve sindirim sistemi hastalıkları görülür. Kalp defektinin ağır olması bebeğin henüz doğmadan önce kalp yetmezliği nedeniyle tüm vücudunun şişmesine neden olabilir (hidrops). Bazı durumlarda sindirim sistemindeki defektler tıkanıklıklara neden olur ve bu durumların acil ameliyatla giderilmesi gerekebilir.

Down sendromlu bebeklerde yeni doğan ya da çocukluk çağında lösemi (kan kanseri) daha sık gözlenir.

Down sendromunun birçok aile için en üzücü özelliği bebek büyüdükçe barizleşen zeka geriliğidir. Bunun şiddeti bebekler arasında önemli farklılıklar gösterir. Bu bebeklerin erken dönemlerden itibaren özel bazı eğitim programlarına alınması ile başarılı sonuçlar alınabilmektedir.

Yeni doğanda nasıl tanı konur?


Klinik bulgularla yeni doğanda Down sendromu tanısı koymak genellikle kolaydır. Ancak kesin tanı kromozom analizi yapılarak konur. Kromozom analizi ayrıca Down sendromu'nun "hafif" şekli olan mozaik durumunun belirlenmesinde de önemlidir. Mozaik kromozom yapısına sahip bebeklerde kromozomların bir kısmı normal yapıda olduklarından sendromun tipik özelliklerinin bir kısmı gözlenmeyebilir ve zeka geriliği de daha hafif olur.
Son düzenleyen Safi; 16 Haziran 2016 03:29
Pollyanna - avatarı
Pollyanna
Ziyaretçi
10 Nisan 2008       Mesaj #6
Pollyanna - avatarı
Ziyaretçi
Ad:  Down Sendromu5.jpg
Gösterim: 2494
Boyut:  24.5 KB

Down Sendromu Tarama Testi


Down Sendromu insanın en küçük yapıtaşı olan kromozom sayısındaki sorunlardan biridir. Sağlıklı her insanda hücrelerindeki sayı 46'dır. Sağlıklı bir kadında 46 tane X kromozomu vardır. Sağlıklı bir erkekte ise 45 X ve 1 tane Y kromozomu vardır. Down Sendromunda ise 21'ci kromozomdan 1 tane fazla vardır, yani 2 tane 21 kromozom ve toplam 47 tane kromozom vardır. Buna benzer başka isimlerle anılan 18 ve 13'üncü kromozom fazlalığı ile beraber olan farklı sendromlar da vardır. Down sendromunun ailesel bir geçişi söz konusu değildir ve tamamı tesadüfen ortaya çıkmaktadır. Burada anne yaşı bu sendromun ortaya çıkmasında önemli rol oynar. Down Sendromu hayatla bağdaşan ve en sık saptanan kromozom bozukluğudur. Canlı doğumlarda sıklığı yaklaşık 1/850'dir. Bu sıklık 20'li yaşlarda 1/1500 iken 45 yaşında 1/28 kadardır. Down Sendromu olan çocuklarda zeka geriliği her zaman vardır. Bu zeka geriliği hafif dereceden çok ağır derecelere kadar değişmektedir. Yaklaşık % 30 ile 35'inde ağır derecede kalp sakatlıkları ve yaklaşık % 15'inde de başta on iki parmak barsak tıkanıklığı gibi mide barsak sistemi ile ilgili sakatlıklar mevcuttur. Bunu takip eden 18 kromozomun fazlalığı yani Trizomi 18 ve Trizomi 13' tür. Anne rahmindeki bebekte Down sendromu riski anne yaşı ile arttığı eskilerden beri bilinen bir gerçektir. Çok önceleri tarama testi olarak anne yaşı göz önüne alındığında, doğum yapacağı zamanda 35 yaştan gün almış olan kadınlarda Down sendromu riski 1/270 olarak hesaplanmaktadır ve bu kadınlara amniyosentes ile kromozom tetkiki önerilmekteydi. Bu konuda yapılan çalışmaların başlıca amacı mümkün olduğunca annelere az müdahale yaparak ama yüksek teşhis yeteneklerine sahip test geliştirmektir. Daha eski olan ve Üçlü Test olarak adlandırılan test ile daha güncel olan 11-14 haftaları arasında yapılan ve İlk Üç ay Down Sendromu tarama testi bu amaçla kullanılan testlerdir.

11-14 Gebelik Haftaları arasında yapılan İlk 3 ay Down Sendromu Tarama Testi: Bu Testin Down Sendromlu bebekleri ortaya çıkarma duyarlığının % 90 civarında olduğu bildirilmektedir. Kullanılan parametrelerden biri 11ile 14 haftaları arasında bebeğin ense derisi altında bulunan sıvı birikimi ile meydana gelen kalınlığının ölçülmesi(nuchal translucency), kanda PAPP-A ve free B-hCG değerleridir. Bu değerler anne yaşı da hesaba katılarak bir programa girilir ve Down sendromu riski hesaplanır.

Bu testin en önemli parçası olan ense kalınlığı ölçümü Trizomi 18 ve 13, Turner Sendromu(Kromozom yapısı 45 XO) taranmasında da yardımcı olur. Aynı zamanda yapılan çalışmalarda bu ense kalınlığının artması anne rahmindeki bebeklerde doğumsal kalp hastalıkları riskinin de artmış olduğunu bildridğinden, bebeğin kromozm yapısı normal saptansa bile mutlaka kalp hastalıkları açısından 5 ayda mutlaka tetkik edilmesi önerilmektedir.

16-18 Gebelik Haftaları arasında yapılan Üçlü Tarama Testi (Down Sendromu Biyokimyasal Tarama Testi)

Üçlü test olarak bilinen bu test, gebeliğin 16 ile 18 haftaları arasında en doğru sonuçlar veren bir kan testidir. Yapılış amacı özellikle Down Sendromu diye adlandırılan problemli bebeklerin anne karnında saptanmasına yöneliktir. Üçlü test için bir miktar kan alınması gerekmektedir. Kanda AFP, hCG ve uE3 hormonları ölçülür. Bu hormonların gebeliğin değişik haftalarına göre değerleri değişmektedir. Gebelik haftasına göre özel bir hesaplama yöntemi ile MoM değerleri bulunur. Testin neticesini hesaplarken annenin yaşı, vücut ağırlığı, ırk, şeker hastalığı olup olmadığı ve sigara kullanıp kullanmadığı da dikkate alınır. Tüm bu veriler ile kandaki üç hormon değerleri bir bilgisayar programına girilerek sonuç elde edilir. Sonuç olasılık olarak verilir. Örneğin Down Sendromulu çocuk doğurma olasılığı 1/2300'dır gibi bir cevap gelir. Bu sonucun 1/270 ve daha sık olarak, yani 1/ 220 veya 1/200 olarak hesaplanması, Down Sendromlu bebek doğurma riskinin yüksek olduğunu bildirir. Üçlü testin Down Sendromlu bebeklerin yaklaşın % 60 ile 70'inin saptanmasına yardımcı olur.Her Yüksek Riskli Üçlü Test Bebeğin Problemli Olduğunu Söyler mi?Hayır, Üçlü testte yüksek risk saptanan yaklaşık 100 anne adayının ancak 1 tanesinin Down Sendromlu olduğu bildirilmektedir.

Down Sendromu Testinde Yüksek Risk Saptandığı Durumlarda Ne Yapılmaktadır ? Bu testin pozitif olduğu yani yüksek risk saptandığı durumlarda, anne karnındaki bebeğin gerçekten Down Sendromu olup olmadığını ortaya koymak gerekmektedir. Bu amaçla bebeğin kromozom yapısının saptanması için amniyosentes yani bebeğin bulunduğu sıvıdan örnek almak veya göbek kordonundan kan alınarak kromozom analizi gerekmektedir. 5 aydan önce en az komplikasyon olan ve en kolay yöntem olan amniyosentez yapılmaktadır. Amniyosentez ile elde edilen sıvı kromozom tayini yapılan laboratuvarda incelenir ve normal olup olmadığı saptanır.

Down Sendromu Testleri Niçin Önemli ? İlk 3 ay Down Testi 11-14 gebelik haftalarında, Üçlü test ise anne adayına 16 ile 18 haftalarında uygulanması gereken bir testtir. Testin bir tarama testi olduğu unutulmamalıdır. Tarama testi genel olarak kolay yapılan ve herkese uygulanabilen ve aynı zamanda ucuz bir test olmalıdır. Sonuçları ise kesin bir teşhisten çok, bir hastalığın ortaya çıkarılmasında yardımcı olmaktadır. Kesin teşhis için her zaman daha ileri bir yönteme ihtiyaç duyulur. Üçlü testte de kesin sonuç amniyosentezle konur. Tekrar vurgulamak gerekir ki nasıl her yüksek riskli test sakat çocuk anlamına gelmiyorsa, normal sonuç alınan her test de bebeğin % 100 sağlıklı olduğunu bildirmez. Bu nedenle bu teste ilaveten 18 ile 20'ci gebelik haftalarında ayrıntılı ultrasonografik inceleme ile diğer problemler aranmalıdır. Özellikle ense kalınlığı 2 mm üstünde olan bebeklerde, kromozom tetkiki normal olsa bile 18-20 haftalarda mutlaka detaylı ultrasopnografiye ileveten kalp tetkiki de gereklidir.
Son düzenleyen Safi; 16 Haziran 2016 03:29
Efulim - avatarı
Efulim
VIP VIP Üye
16 Şubat 2012       Mesaj #7
Efulim - avatarı
VIP VIP Üye

Down sendromu için yeni test

Ad:  Down Sendromu4.jpg
Gösterim: 3418
Boyut:  39.7 KB

ABD’de, ekim ayından beri uygulanan yeni bir kan testi, anne karnındaki bebeğin down sendromu olup olmadığına yönelik daha güvenilir sonuçlar sağlıyor.

Almanya’da 100 bin kadar Down sendromlu insan bulunduğu tahmin ediliyor. 21'inci kromozom çiftinde bir tane kromozomun fazla olmasıyla ortaya çıkan down sendromu, çocuklarda zihin hasarına neden oluyor ve neredeyse bir ömür boyu özel bakım ve ilgi gerektiriyor.
Hamile bir kadın, karnındaki bebeğin down sendromu olmadığından emin olmak istiyorsa, doktor anne rahminden sıvı alınmasını içeren bir uygulama olan amniyosentez yapabiliyor. Ancak bu işlem hamilelik için küçük bir risk demek ve çoğu kadın bu uygulama konusunda pek istekli değil. Almanya’da her yıl sadece 70 bin kadın amniyosentez yaptırıyor.
Berlin’deki Doğum Öncesi Tanı ve İnsan Genetiği Merkezi’nden Dr. Michael Entezami, "Amniyosentez, yüzde 0,3 ile yüzde 1 arasında değişen bir risk taşıyor. Uygulama, düşüğü tetikleyebiliyor" şeklinde konuşuyor. Ancak bu yıl Down sendromu olasılığını tespit eden yeni bir test Almanya’da uygulanmaya başlanacak.

ABD’DE UYGULANIYOR
Geçtiğimiz mart ayında Down sendromu kan testine ilişkin Kıbrıs’ta yapılan bir araştırmanın sonuçları Nature Medicine dergisinde yayınlanmıştı. Test 2011 yılı ekim ayından beri ABD’de uygulanıyor.
Bilim adamları mart ayında yazdıkları makalede, “Müdahale gerektirmeyen bu yöntem, şu anda normal hamileliklerde daha müdahaleci bir işlem gerektiren testlerin yol açtığı düşük riskini ortadan kaldırıyor” ifadelerine yer vermişti.

‘DİĞER TESTLERLE BİRLİKTE YAPTIRILMALI'
Hamile bir kadının kanı sadece kendi genetik kodlarını değil aynı zamanda bebeğin genetik kodlarının yüzde 5’ini de içeriyor. Genelde plasentanın dokusu çocuğun dokularıyla genetik benzerlik içeriyor. Dolayısıyla doktorlar genetik bir hasarın varlığını gözlemleyebilir.
Doktorlar, bu genetik maddeyi inceleyerek, Down sendromuna yol açabilecek genetik tekrarların var olup olmadığını hesaplayabilir. Dr. Entezami, testin yüzde 98 oranında doğru sonuçlar verdiğini söylüyor ancak aynı zamanda anne adaylarına kan testini diğer testlerle birlikte yaptırmalarını öneriyor.
Son düzenleyen Safi; 16 Haziran 2016 03:30
Sen sadece aynasin...
Avatarı yok
nötrino
Yasaklı
26 Mart 2013       Mesaj #8
Avatarı yok
Yasaklı
Ad:  Down Sendromu3.jpg
Gösterim: 2167
Boyut:  34.2 KB

Down Sendromu Protein Eksikliği ile Bağlantılı


Down sendromlu insanların beynindeki bir proteinin eksikliği öğrenme ve hafıza sorunlarına neden oluyor.
Nature Medicine dergisinde yazılanlara göre Kaliforniyalı araştırmacılar 21. kromozomun down sendromlu insanlarda protein kaybını tetiklediğini ortaya çıkardı.Down Sendromu Derneği çalışmanın bir hayli ilginç olduğunu ama down sendromunun nedenlerinin de bir o kadar karmaşık olduğunu açıkladı.

Sanford-Burnham Tıbbi Araştırma Enstitüsü'nden Profesör Huaxi Xu, fareler üzerinde yapılan çalışmalarda bulunan SNX27 proteininin beyin fonksiyonları ve hafıza gelişimi için önemli olduğunu keşfettiklerini söyledi. SNX27 proteininin az miktarda olduğu down sendromlu farelerin öğrenme ve bellek sorunları yaşadığını dile getirdi.

Bu araştırma sonuçlarına bakılarak down sendromlu insanların beyin proteinleri incelendi. Bu araştırmalar bulguları doğruladı ve down sendromlu insanların da SNX27 proteininin düşük seviyede olduğu gözlendi.Araştırmacılar protein eksikliğinin giderildiği zaman beyinsel işlevlerin yerine gelip gelmeyeceğini görmek için farelerin beynindeki SNX27 düzeyini arttırdılar. Protein seviyesi arttırıldıktan sonra farelerin hafıza açığının kapandığı gözlendi.

Profesör Huaxi Xu böyle bir işlemi insana uygulamanın şimdilik zor olduğunu, güvenli tekniklerle bunu yapabilmek için daha çok çalışılması gerektiğini vurguladı.Geliştirilecek tekniklerle belki de down sendromu ve buna benzer bir çok hastalık tarihe karışacak.


Kaynak: BBC / Nature Medicine (24 Mart 2013,18:49)
BEĞEN Paylaş Paylaş
Bu mesajı 1 üye beğendi.
Son düzenleyen Safi; 16 Haziran 2016 03:30

Benzer Konular

28 Mart 2009 / HipHopRocK Tıp Bilimleri
4 Mayıs 2008 / Pollyanna Tıp Bilimleri
3 Ağustos 2008 / GusinapsE Tıp Bilimleri
3 Ağustos 2012 / _PaPiLLoN_ Psikoloji ve Psikiyatri
28 Ekim 2008 / Gabriella Taslak Konular