Ziyaretçi
KROMOZOM

a. (fr. chromosome).
Sponsorlu Bağlantılar
2. Eşey kromozomu, cinsiyetin belirlenmesinde rol oynayan özel kromozom. (Bk. ansiki. böl.) || iki değerli ya da ikiz kromozom, Dl- YAD’ın eşanlamlısı. || Phiiadeiphia kromozomu, iki uzun kolu koptuğunda 22 no.Tu kromozoma verilen ad. (Bu kromozoma süreğen miyeloit lösemili hastaların hücre karyotiplerinde rastlanır.)
—ANSİKL. Kromozomlar ancak hücre bölünürken (mitoz) belirfenebilirleı; çünkü en terfazda, yani hücre dinlenme halindeyken açılmış olduklarından teker teker belirlenemezler. O zaman kromatin ağı halindedirler. Kromozomlar, çekirdeksiz olan alyuvarlar dışında, organizmadaki tüm hücrelerde vardır. Bakterilerde (ve prokaryotlarda) kalıtım maddesini, sitoplazmanın içinde halka biçiminde yer alan çıplak bir DNA molekülü oluşturur. Canlı yaratıklar sıralamasında üst düzeylere çıkıldıkça çekirdek belirginleşir (ökaryotlar) ve kromozomların ortaya çıktığı görülür.
• Sayı.
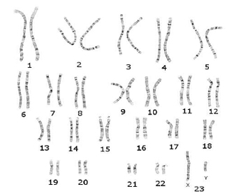
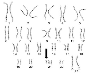
Kromozomların sayısı türden türe değişir. Ama tümünde (ya da tüme yakın) çifttir. Gerçekten de canlılarda N sayıda çift kromozom vardır: N'ye haploit sayı, 2N'ye diploit sayı denir. 2N kromozomlar, N -1 sayıda özdeş çift kromozom (bunlara “otozom” denir) ile birbirine benzemeyen, bazen "gonozom" adı verilen bir çift cinsel kromozomdan oluşur. Erkeğin heterogametli olduğu türlerde (insanda olduğu gibi) erkekte bir XY çifti, dişide bir XX çifti bulunur. Kuşların çoğunda dişi he- terogametlidir. Bazı nadir türlerde erkek X, dişi XX'tir. insan türünde kromozom sayısı 2N = 46'dır. Yani 22 çift otozom ve bir çift cinsel kromozom vardır (Tjio ve Levan 1956). [KARYOTİP] Diploit sayı örnekleri: sirkesineği 8; kurbağa 26; çekirge 30; tavuk 30, artı "toz” halinde birçok parçacık; fare 42; koyun 54; keçi 60; tavşan 44; tütün 48.
• Biçim, boy.
Kromozomlar yalnız hücre bölünmesi sırasında ve özellikle metafaz evresinde saptanabilir. Uzunluklar 5 ila 15 n arasında değişir. Üzerinde, yeri kromozoma göre değişik olan ve "santromer" adı verilen sabit ve değişmez esas bir boğum, bir de sabit olmayan ve her zaman bulunmayan ikincil boğumlar vardır.
• Yapı.
Kromozomlar, molekül yapısı çok iyi bilinen uzun dezoksiribonükleik asit zincirlerinden (DNA) ve "historı" denilen özel proteinlerden oluşur. Kromozomların yapısının üçlü olduğu düşünülmektedir Ana yapı, "nükleozom” denen 4 protein alt -biriminden (histönlar) oluşan öğelerin çevresine dolanmış olan bir DNA molekülüdür. Zincir bir nükleozomun çevresini 2 kez dolandıktan sonra serbest hale geçer. Sonra bir başka nükleozomun çevresini 2 kez dolanır ve böyle sürer gider. Bu ana yapı sarmal hale gelerek bir ikincil yapı oluşturur; bu yapı ortadaki bir protein ekseniyle eklemlenerek, kuyruklularda olduğu gibi, kromozom tomarları halinde büyük halkalar oluşturur (bu da üçüncü yapıdır). DNA zincirlerinin, özgül proteinlerin bireşiminden sorumlu "gen" denilen işlev birimleri halinde düzenlenmiş oldukları bilinmektedir. Genlerin uzunluğu 1 000 ila 2 000 çift nükleotit dolayındadır. Bununla birlikte mikroskopta görülemezler. Sirkesineğindeki gibi dev kromo zomlarda gözle görülebilen açık ve koyu bantlara bakılarak bazı genlerin konumu ve topografik bozuklukları ile bunlar arasında bir paralellik kurulabilir. Bugün insan türünde 300'den fazla genin yeri bilinmektedir.
• Kromozomları inceleme teknikleri.
Bu tekniklerin ilkesi şudur: aynı anda bölünen çok sayıda hücre elde etmek, bölünmeyi metafaz evresinde durdurmak (kromo zomların belirginleştikleri tek evre bu olduğundan) ve kromozomları yayarak bir düzlemde tespit etmek.
Bu amaçla başlıca 2 tip hücre kullanılır, fibroblastlar ve akyuvarlar. Fibroblast- ları elde etmek için deri ve aponevroz parçalarından yapılan bir doku kültürüne gereksinme vardır ve tekniğin tümü için 10 ila 15 gün gereklidir. Akyuvar kullanan teknik için birkaç damla kan ve 3 günlük bir üretim yeterlidir. Bundan ötürü ötekinden daha kolaydır ve kullanımı olağanlaşmıştır. Fibroblast kültürü, ancak ikinci bir do ku incelenmek istendiğinde ve özellikle bir kromozom mozaiki araştırmakta kullanılmaktadır.
Akyuvarlar canlı bünyesinde bölünmezler. Bununla beraber, bazı maddeler eklenerek in vitro bölünmeleri sağlanabilir; bunun için en etkili madde fasulyeden (Faseolus vulgaris) elde edilen ve "fitohemaglütin" denilen bir polisakkarit -proteindir. Fitohemaglütin 24 saat içinde bir hücre bölünmesi başlatabilir ve en yüksek bölünme düzeyine 60. ya da 70. saatte ulaşılır. Ondan sonra hücre bölünmesi kofşisin eklenerek metafaz evresinde durdurulur Kromozomları yaymak için de hücre hipotonik bir sıvıyla şişirilir, sonra hücreler tespit edilir ve böylece hücre bölünmeleri incelenebilir ve karyotipler saptanabilir.
İnsan karyotipinin saptanmasında kullanılan eski ve klasik teknikler kromozom kollarının homojen bir yapıda olduğunu göstermektedir. Bu yapı bazı kromozomların kesin biçimde ayırt edilmesine yaramadığı gibi bazı yapısal değişimlerin (özellikle translokasyonların [yer değiştirmeler]) belirgin olarak görünmesine de yaramaz. Caspersson ve Zech ilk kez 1970’te, her kromozom çiftindeki karakteristik bantların tam bir topografisini ortaya çıkaran ve flüorışıyla çalışan bir kromozom inceleme tekniği geliştirdiler. Bu teknikte saptanmış olan kromozomlar çeşitli kinakrin türevleriyle (sıtma ilacı) karıştırılır, sonra mikroskopta morötesi ışın altında incelenir. Az çok flüorışıl hale gelen bantların almaşma durumuna bakılarak karyotlpteki kromozom hiçbir karışıklık olmadan belirlenir.
Daha sonra, daha basit yöntemler de geliştirildi. Bu yöntemler de yukarıda belirtilen topografileri ortaya çıkarır, ama gözle görülebilen ışınlar altında gözlenebilmelerini sağlar. Bunlarda hücre preparatları çeşitli işlemlerden geçirilir: ısı, PH değişikliği ya da proteolitik enzimlerle (proteinleri sindiren proteaz, tripsin) sindirme Ondan sonra preparatlar her zaman kullanılan boyalarla (özellikle Giemsa) boyanır. Böylece, flüorışı altında göründüğü gibi her kromozom için belirgin koyu ve açık renkli bantlar görünür hale gelir ve kromozom tam saptanmış olur. Bu teknikler, kromozomlara bağlı birçok yeni sendro- mun tanımlanmasını sağlamıştır. Eski tekniklerle saptanmış olan kromozom sendromlarına (21, 18, 13 trizomileri, kedi miyavlaması hastalığı vb.) bu yeni sendromların eklenmesiyle bugün bilinen sendrom sayısı 70'e ulaşmıştır. Bunların tümü doğuştan şekil bozuklukları, az ya da çok ileri derecede duyusal ve devimsel gelişim geriliği gibi çeşitli yapısal bozukluklardan sorumludur. X ve Y cinsel kromozomlarındaki anomaliler de pek çoktur ve cinsel gelişme anomalileri biçiminde ortaya çıkar, ama zekâ geriliği olmayabilir.
• Türlerde kromozom evrimi.
Grouchy ile Yurleau'nun çalışmaları (1972, 1980) sayesinde, insanın ve insansı maymunların (şempanze, goril, orangutan) evrim sürecinde, kromozomların geçirdiği değişimleri büyük bir kesinlikle izleyebilme olanağı doğdu. Bu bilginler, sözkonusu türlerin, görünüşte çok basit ve az sayıda değişimle birbirinden “ayrıldığım" gösterdiler: 1. Akrosentrik kromozomlar arasında bir sentrik kaynaşma olmuştur. Bu birleşme anılan üç primattaki 48 kromozomun, insanda 46'ya inmesini açıMamaktadır. İnsandaki ikinci kromozom insansı maymunlardaki iki akrosentrık kromozomun karşılığıdır; 2. çeşitli filumlarda meydana gelen ona yakın perisentrik sapma. Bu değişim, aynı kromozomun santromerin iki yanından kırılması ve kopan parçaların, santromeri taşıyan orta bölümün ters dönmesinden sonra yeniden yapışmalarıyla belirgindir.
Bu gözlemler, dört türün ortak atasının karyotipini yeniden kurma olanağını sağlamıştır. Bu değişimlerin, ancak kendi aralarında ya da kendi soyundan biriyle bir- leşerek üreyebilen birey gruplarını, yavaş yavaş ayırıma uğratarak yeni türlerin oluşmasını sağladığı ve böylelikle yakın akrabalararası birleşmelerin türlerin gelişiminde önemli rol oynadığı anlaşılmaktadır. Bu değişimlerle önceden ayırıma uğramış birey gruplarını "biçimlendirmek" için gen mutasyonları sonradan işe karışır, ilginç olan nokta şu kİ, bu sonuncu değişimler tür oluşmasında hiç de olumlu rol oynamaz; çünkü kromozom dengesizliği taşıyan zigotları ürettiklerinden ötürü fıeterozigot durumda verimliliği azaltır; buysa darwinci öğretiye ters düşen bir görüştür. Homozigotluğa ulaşıldıktan sonra (kan bağından ötürü) değişimler olumsuz ya da zararlı niteliklerini yitirir ve yeni türün tam anlamıyla yalıtılmasını sağlar.
• insanın kromozom haritası.
Tnsan kromozomları üzerinde genlerin yerlerini saptamada büyük ilerlemeler kaydedildi. Bunca hücre melezlemelerindeki ( MELEZ) tekniklerin gelişmesini sağladı. Değişik bireylerden alınan hücrelerin kültür ortamında kaynaşmasıyla gerçek dokular elde edilebileceği, bu kaynaşma sonucunda iki ayrı hücrenin kromozom sayısının toplamını içeren melez hücreler oluşacağı bilinmektedir. Bu yöntemle, çeşitli melezler elde etme olanağı vardır: insan -fare, insan-dağsıçanı, dağsıçanı-fare, fil-sivrisinek, vb. Bu melezlerin ilginç yönü, kültürde ardışık kuşaklar boyunca hücrelerin fazla kromozomlarını dışarı atmalarıdır. Ama, dışarı atılan kromozomlar her zaman aynı türün kromozomlarıdır, insan -fare melezinde atılan kromozomlar insan kromozomlarıdır Bir hücrenin klonlanmasıyla "alt kültürlür" elde etme olanağı vardır. Bu alt kültürlerde de bazı karakterlerin (örneğin enzimlerden gelenler) birlikte alıkonup alıkonmadığı ya da yitirilip yitırilmediği araştırılabilir. O zaman onların bağlı oldukları, yani aynı kromozom üzerinde bulundukları sonucuna varılır., Aynı şekilde, bazı karakterlerin (ya da bağlı karakter gruplarının) bazı özel kromozomlarla birlikte alıkonup alıkonmadıkları, yitirilip yitirilmedikleri de araştırılabilir. Sonuç olumluysa bu karakterlerin sözkonusu kromozom üzerinde bulunduğu anlaşılır. Böylece yüzlerce genin, belirli kromozom bölütleri üzerindeki yeri başarıyla saptanmıştır. Bu gözlemler kısmi monozomi ya da trizomi taşıyan hastaların incelenmesiyle tamamlanmış, böylece, enzimlerin bireşiminden sorumlu genler bir doz ölçümüyle saptanabilmiştir. Gerçek şudur ki, bugün aşağı yukarı 300 genin yeri belirlenrşjş bulunmaktadır.
• Eşey kromozomu.
Eşey kromozomları beden hücrelerinde genellikle iki tanedir; ama gametlerde yalnız biri bulunur, iki eşey kromozomu özdeş olabileceği gibi (XX) birbirinden farklı da olabilir (XY). Bazı türlerin beden hücrelerinde yalnız bir eşey kromozomu bulunur; bu durumda, gametlerin yarısında eşey kromozomu olur, yarısında olmaz. Eşey kromozomlarının varlığı genel kuraldır, ama kesinlik taşımaz (bazı solucanlarda ve zarkanatlılarda yoktur).
Kromozomlar, çok düzenli olarak, kendi üstüne sarmallanmış devasa DNA molekülleridir. Bu moleküllerin dizilmesindeki en ufak bir hata, hücrelerin bölünmesini engelleyebiliyor. 46 kromozoma dağılmış olan DNA’nın iki omurgasını oluşturan 3 milyar 200 milyon baz var. Her gen ,yaşamın olmazsa olmaz işlevlerini yerine getirmek üzere, hücrelere gerekli komutları veren 10-20 bin bazdan oluşuyor.
DNA şeridinin büyük kısmı çöp DNA olarak değerlendiriliyor. Bu iş görmeyen bu kısım,genleri bir bobin gibi sarmallayarak, onların DNA kopyalaması sırasında kırılmaları önlemektedirler.İnsanlığın geleceğinin yazılı bulunduğu kromozomlar bizlerin kimlik kartlarını olusturur.Her bir kromozonun üzerinde hangi gen setlerinin bulunduğu ve işlevleri üzerindeki çalışmalar yeni yeni bilgiler vermekte.İnsanın hangi hastalıklara yakalanabileceği,ne kadar uzun yaşayacağı,zeka kapasi,korkaklık,saldırganlık gibi tüm özelliklerin belirlendiği emir kipleridir kromozomlar.Aşağıda bu kromozomlarda meydana gelebilecek bozuklukların yol açabileceği bazı hastalıklar ve kromozomun etkileri belirtiliyor.
1.kromozom: En büyük kromozom...Alzheimer hastalığı,prostat kanserine eğilim,baskın sağırlık,doğuştan katarak,Rh faktörü,akciğer kanserine yatkınlık
2.Kromozom: Sık görülen birçok hastalığa neden oluyor.belleğin oluşumuyla ilgili bilgiler,kolon(kalın bağırsak) kanseri,kas gelişimini engelleyen gen,doğuştan gece körlüğü,2 tip şeker hastalığı.
3.Kromozom: Cinsel yaşam için çok önemli bir kromozom.kolon kanseri,obezite(ciddi şişmanlık),şizofreniye yatkınlık,doğuştan ilerleyici olmayan gece körlüğü.
4.Kromozom: Cücelik(akondroplazi),huntington koresi(40 yaşından sonra titremeleri izleyen bunama),baskın sağırlık,diabet,alkol bağımlılığına eğilim,manik depresif psikoz,sedef hastalığı,parkinson hastalığı.
5.Kromozom: Duygusal zekaya ilişkin kromozom.Dikkat kusuru,akne,saç dökülmesi,ilerleyici işitme kaybı
6. kromozom: Şizofreniye eğilim,bağışıklık sistemi ,disleksiye yatkınlık,kroner damar sertliği,epilepsi
7.Kromozom: Kolon kanseri,sinir sistemi tümörü,otizm(içedönüklük),şizofreniye yatkınlık,kronik akciğer iltahabı,şişmanlık
8.Kromozom: Erken sara,Werner hastalığı(çocuğun erken yaşlanması),kalıtsal kellik,şizofreniye yatkınlık,genel saraya yatkınlık,guart
9.Kromozom: Kötü huylu deri kanseri,galaktozemi (çocukta sütü sindirememe durumu),hirsutizm(aşırı kıllanma),ABO kan sistemi
10.Kromozom: Yarık dudak damak,işitsel belirtilerle kısmi sara,vitiligo(deride bölgesel pigment yokluğu),obezite,retinanın atrofisi
11.Kromozom: Diyabet,hemoglobin hastalığı),drepanositoz(kan hastalığı),manik depresif psikoz,kalp aritmisi,iris tabakası yoğunluğu
12.Kromozom: İltihaplı bağırsak hastalıklarına yatkınlık,vitamine bağlı raşitizm(D vitamini metabolizmasında kusur),astım,alkol etkenli yüz kızarması,diabet
13.Kromozom: Baskın sağırlık,göğüs kanseri,retina kanseri(retinablastom),kalıtsal gece işemesi,erken meme kanseri(BRCA2 geni)
14.Kromozom: Alerjiye yatkınlık(egzama),Sağırlık(dil gelişiminden sonra),siroz,alzheimer
15.Kromozom: Doğuştan beyin özrü,Disleksiye eğilim,Marfan hastalığı(basketciler gibi uzun el ve ayak ile çok uzun boy),Kroner damar sertliği.
16.Kromozom: Manik depresif psikoz,hemoglobin hastalığı,katarak,iltahaplı bağırsak hastalığı(Crohn hastalığı),yüksek tansiyon
17.Kromozom: Meme kanserine eğilim(BCCR geni),Tüm kanserlere eğilim,ağır astım,yumurtalık kanserine eğilim(BRCA 1 geni),cücelik,sedef hastalığına yatkınlık,bunama,diabet
18.Kromozom: Manik depresif psikoz,erken obozite,kızıl saç,yüksek miyop,kolon kanseri.pankreas kanseri
19.Kromozom: Migren,baskın sağırlık,geç dönem alzheimer hastalığı,kroner damar sertliği,auralı ve beyin lezyonlu migren krizleri
20.Kromozom: Boy uzunluğu belirleyicisi,uykusuzluk,diabet,baskın gece sarası,birleşik bağışıklık yetmezliği
21.Kromozom: Alzheimer hastalığı,amyotrofik lateral skleroz(Stephen Hawking’in hastalığı),manik depresif psikoz,Down sendromu,ilerleyici miklonik sara,parkinson,lösemi.
22 Kromozom: doğumsal kalp hastalığı,Kedi gözü sendromu,Şizofreniye eğilim,otizm(içe dönüklük),zeka geriliği,glikoz ve galaktoz sindirim bozukluğu,kemik iliği oluşumunu düzenliyor
23.Kromozom( Y): Erkeklik cinsiyetini belirliyor,cinsel organların gelişimini düzenliyor.
24.Kromozom(X): İki adet kromozomu taşıyan bebek kız oluyor.Bu kromozomdaki dejenerasyon;kas erimesi ve cüceliğe yol açıyor.
Kaynak: Büyük Larousse
Son düzenleyen Safi; 15 Haziran 2016 04:14

Kromozom Nedir? Kromozomların Yapısı, Özellikleri ve Görevleri















