Pankreas
MsXLabs.org & MORPA Genel Kültür Ansiklopedisi
Karın boşluğunda, midenin alt bölümünün arka tarafında bulunan, yaprak biçiminde bir salgıbezi. 15-20 cm. uzunluğunda, 55-70 gr. ağırlığında olup, erkeklerde kadınlardan daha büyüktür. Pankreas, sindirim için gerekli olan enzimleri ve önemli iki hormonu salgılar. Bu salgılar iç ve dış salgılardır. Dış salgı, sindirime yardım eden salgılardır. "Virsung kanalı" denilen özel bir borudan onikiparmak bağırsağına dökülür. İçinde, amilopsi, tripsin, steapsin diye üç çeşit maya bulunur. Bunlar, şekerli ve nişastalı besinleri sindirime elverişli hâle getirir, proteinli besinlerin ve yağların sindirilmesini sağlar. İç salgılar, "ensülin" denilen hormondur. Kandaki fazla şekeri yakarak, karaciğerin şeker düzenlemesine yardım eder. Pankreasın bu salgısında bozukluk olursa şeker hastalığı ortaya çıkar. Pankreasta kanser meydana gelince, pankreas ameliyatla çıkarılır.
VÜCUDUN GİZLİ DESTEKÇİSİ: PANKREAS
Güzel bir akşam yemeği yediğinizi düşünelim. Çeşitli besinlerden oluşan bu yemeği nasıl sindireceğinizi şimdiye kadar hiç aklınıza bile getirmemiş olabilirsiniz. Hatta bütün bu besinlerin her birinin farklı enzimlerle işleme tabi tutulması gerektiğini de bilmiyor olabilirsiniz. Bu konuda eğitim almamış bir insanın bu gibi bilgilere sahip olmaması elbette ki doğaldır. Ancak vücudunuzdaki bir organ bu bilgilerin tümüne sahiptir. Bu organ hangi besinin ne gibi bir enzimle sindirileceğini bilir. Hiçbir karışıklık ve aksaklık çıkmadan, en doğru zamanda, en doğru kimyasal salgıyı besinlere gönderir. Bu organ pankreastır.
Pankreas sindirim sistemine gönderdiği enzimlerle de insan yaşamında çok önemli bir rol oynar. Aynı zamanda bağırsakların mide asitleri tarafından parçalanmasını engelleyen enzim de yine pankreas tarafından üretilir.
Sindirim işleminde pankreasın devreye girmesi özel bir mesaj ile gerçekleşir. Midede sindirim işlemleri devam ederken özel bir enzim olan "kolesistokinin" kana karışmaya başlar. Bu enzimin kanda belirli bir düzeye ulaşması pankreası uyarır. Bu uyarı pankreasa görev zamanının geldiğini bildirir ve pankreas, parçalayıcı enzimlerini onikiparmak bağırsağına salgılamaya başlar.
GİZLİ KİMYAGER
Pankreas sindirim işleminin başladığını anlamakla kalmaz, bir de yediğiniz yiyeceklerin çeşitlerini de anlayabilir. Ve yediğiniz farklı yiyeceklere göre farklı sindirim enzimleri üretir. Örneğin makarna, ekmek gibi karbonhidratlı besinler yediğiniz zaman pankreasın salgıladığı enzim, karbonhidrat parçalayıcı özelliğe sahiptir. Bu besinler onikiparmak bağırsağına ulaştığında, pankreas karbonhidrat parçalayıcı özellikteki "amilaz" isimli enzimi üretir.
Eğer kırmızı et, balık ve tavuk gibi besinler yerseniz, pankreas, proteinli yiyecek yediğinizi hemen anlar. Yine bu besinler onikiparmak bağırsağına ulaştığında bu sefer proteinleri parçalayacak farklı enzimler olarak "tripsin, kimotripsin, karboksipeptidaz, ribonükleaz ve deoksiribonükleaz" üretir ve bu enzimler protein moleküllerine saldırır. Eğer yemeğinizin yağ oranı fazlaysa bu enzimlerle beraber "lipaz" isimli, yağları sindiren bir enzim daha devreye girer.
Görüldüğü gibi bir organ, yediğiniz yemeğin nelerden oluştuğunu anlayıp, daha sonra bu besinlerin sindirilmesi için gerekli olan kimyasal sıvıları ayrı ayrı üretmekte ve bunları sadece gerektiği anlarda salgılamaktadır. Pankreas, karbonhidrat molekülü için protein parçalayıcı, veya yağ molekülü için karbonhidrat parçalayıcı sıvı salgılamaz. Ürettiği kompleks sıvıların kimyasal formüllerini unutmaz. Karışımı oluşturan herhangi bir maddeyi kazara eksik tutmaz. Sağlıklı insanlarda, pankreas ömür boyu doğru şekilde hizmet eder durur.
Şimdi gerçekleşen bu olayı mikro düzeyde tekrar inceleyerek karşımızdaki mucizenin boyutlarını daha iyi görelim. Midede sindirim devam ederken mide hücreleri boş durmazlar. Bu hücrelerden bazıları midede sindirilen besinin bir süre sonra onikiparmak bağırsağına ulaşacağını anlamışlardır. Bu hücrelerin bütün düşünceleri ve istekleri besinlerin insan için en iyi şekilde sindirilmesidir. İçlerindeki sorumluluk duygusu ile harekete geçen mide hücreleri pankreas hücrelerine mektup yazmaya (hormon salgılamaya) ve bu hücreleri yardıma çağırmaya karar verirler. Ardından yazdıkları mektupları kan yolu ile pankreasa gönderirler.
Mucize yalnızca adresin doğru yazılması ile sınırlı değildir. Mide hücresinin gönderdiği mektubun içinde bir de mesaj vardır. İnsan vücudunun derinliklerinde, birbirlerinden çok uzakta bulunan iki küçük canlı (hücre) mektuplaşmakta ve haberleşmektedir. Birbirlerini hiç görmedikleri halde birbirlerinin hangi dilden anladıklarını bilmektedirler. Dahası bu haberleşme bir amaç uğrunadır. İki hücre birlik olmuş ve yediğiniz besinlerin sindirilmesi için plan yapmaktadırlar. Şüphesiz bu gerçek bir mucizedir.
Kendisine ulaşan mektubu (kolesistokinin hormonunu) okuyan pankreas hiç beklemeden bu mektuptaki emre itaat eder. Hemen besinlerin sindirilmesi için gerekli enzimleri salgılamaya başlar. Eğer onikiparmak bağırsağına ulaşan besin protein ise protein parçalayan bir enzim üretir. Eğer besin karbonhidrat ağırlıklı ise bu sefer karbonhidrat parçalayan bir enzim üretir ve bu enzimi onikiparmak bağırsağına gönderir.
Şimdi önünüze bir kara tahta koyulduğunu ve bu kara tahtanın üzerine sırayla bir protein molekülünün, bir yağ molekülünün ve bir karbonhidrat molekülünün formüllerinin yazıldığını ve bu moleküllerin atomik dizilimlerini gösteren şekillerin çizildiğini düşünelim. Ardından sizden bu üç farklı moleküler yapının her birini parçalayacak en uygun moleküler yapıya sahip enzimlerin formüllerini üretmeniz ve bu formülleri tahtaya yazmanız istensin.
Durum böyle iken, pankreas hücrelerinin ürettikleri enzimlerin kimyasal yapılarını nasıl bilebildikleri sorusu son derece önem kazanmaktadır. Her pankreas hücresi doğuştan söz konusu formüllerin bilgilerine sahiptir. Bu bilgiye sahip olmakla kalmaz, bildiklerini en doğru şekilde kullanır ve insana yorulmaksızın hizmet ederler. Pankreas hücreleri kimya konusunda insanlardan çok daha zeki ve başarılıdırlar. Çünkü insanın bu formülleri üretebilmesi için eğitime ihtiyacı varken, küçücük bir hücre söz konusu formülleri doğuştan ezbere bilmektedir.
Hiçbir tesadüf, hücrelere böylesine üstün bir akıl, böylesine özel bir bilgi ve böylesine üstün bir sorumluluk anlayışı kazandıramaz. Hiçbir tesadüf, hücrelerin birbirleri ile haberleşecekleri, birbirlerinden yardım isteyecekleri bir sistem kuramaz. Hiçbir tesadüf, tek bir pankreas hücresine tek bir kimyasal formülü öğretemez. Hiçbir tesadüf, hücreye elindeki bilgiyi doğru zamanda kullanma yeteneği veremez.
Bu sistemleri yoktan var eden ve her an çalışmasını sağlayarak insana hizmet ettiren güç, Alemlerin Rabbi olan Allah'tır.
Pankreasın vücuttaki önemli görevlerinden başka bir tanesi de kan şekerinin ayarlanmasıdır. Bu ayarlamayı yapan salgılar, pankreas içinde bulunan ve "Langerhans adacıkları" denilen küçük kapalı bezler tarafından üretilir. İnsülin ve glukagon adını alan bu hormonlar kan şekerinin ayarlanmasında görevlidirler.
Bir yandan şekerli çayınızı yudumlar bir yandan da pastanızı yerken hiçbir zaman aklınıza kanınızdaki şeker miktarını ayarlanmanız gerektiği gelmez. Sürekli yapılan bu ayarın ne kadar hayati bir önemi olduğunu da düşünmemiş olabilirsiniz. Ancak sizin sağlığınızla ilgili bu konuda görevlendirilmiş olan pankreasınız, gerekli olan bütün bilgilere sahiptir ve kanınızdaki şeker ile ilgili ölçümleri çok hassas bir şekilde yapar. Ve gerektiği anda yeteri kadar hormon salgılayarak vücudunuzdaki şeker dengesini korur.
Kandaki şeker miktarının belirli sınırlar içinde olması insan yaşamı için zorunludur. Ama insan günlük hayatta şekerli gıdalar yerken bu hassas dengenin hesabını yapamaz. Çünkü herkes adına bu hesap sürekli olarak yapılır.
Kandaki şeker miktarı yükseldiğinde pankreas bu durumu hemen haber alır ve insülin denilen özel bir madde salgılar. Bu madde karaciğere ve vücuttaki diğer hücrelere kandaki fazla şekeri tutmalarını emreder. Eğer kandaki şeker miktarı düşerse pankreas bunu da hemen öğrenir ve "glukagon" isimli bir başka hormon salgılar. Bunun üzerine karaciğer önceden depoladığı şeker stoklarını, özel işlemlerden geçirip kana geri verir.Kandaki şeker oranı -hastalık durumu hariç- bu işlemler sayesinde hiçbir zaman tehlikeli bir noktaya çıkmaz.
Günlük hayatta sizin ne pankreastan ne insülinden ne de karaciğerden haberiniz olmaz. Kanınızdaki şekerin yükseldiğini fark etmezsiniz, hatta önünüze farklı şeker oranları olan iki şişe kan konulsa aradaki farkı anlayamazsınız. Ama hiçbir zaman görmediğiniz ve bilmediğiniz bazı hücreleriniz, kanınızdaki şekeri laboratuvarlardaki aletlerden daha hassas bir şekilde ölçer ve ne yapılması gerektiğine anında karar vererek hemen uygulamaya geçerler.
(Dr. Philip Whitfield, Human Body Explained, A Marshall Edition, s.43) Peki hücreleriniz bu benzersiz akla ve yeteneğe nasıl sahip olmuştur?
Hücrelerinize, ölçüm yaptıran, karar verdiren, bunları uygulayacak akıl ve yetenek kazandıran elbette ki hücrelerinizin kendisi değildir. Vücudunuzdaki hücrelere gerekli komutları veren, nasıl davranmaları gerektiğinden onları haberdar eden, kusursuz bir sistemle onları yaratan üstün güç sahibi Allah'tır.
Buraya kadar pankreastan bahsederken; "bilir, yapar, unutmaz, eksik tutmaz, karıştırmaz" gibi sıfatlar kullandık. Pankreasın da hücrelerden oluştuğu düşünülecek olunursa, akıl gerektiren bu sıfatların pankreasın kendisine ait olamayacağı da hemen anlaşılacaktır. Peki öyleyse pankreası oluşturan hücrelere bir ömür boyu üretim yapma, hizmet etme sorumluluğunu kim vermiştir? Birbirlerinden farklı ve kompleks molekülleri parçalayacak enzimlerin kimyasal formüllerini pankreas hücrelerine kim öğretmiştir? Üretilen sıvıların doğru yere boşaltılmalarını sağlayan boru sistemini kim döşemiştir? Doğru sıvının, doğru anda boşaltılmasını sağlayan uyarı ve iletişim sistemini kim kurmuştur?
Bu sorular veya bu sorular gibi üretilebilecek yüzlerce soru, bizi apaçık bir gerçeğe götürür. Bütün bunları yaratan Allah'tır. Allah küçücük alanlara yerleştirdiği bu gibi ihtişamlı özelliklerle bize Kendisini tanıtır. Allah büyük bir güç sahibidir. Allah'ın yaratmada hiçbir ortağı yoktur. Bu, insanın hayatındaki en önemli gerçektir.
De ki: "Göklerin ve yerin Rabbi kimdir?" De ki: "Allah'tır." De ki: "Öyleyse, O'nu bırakıp kendilerine bile yarar da, zarar da sağlamaya güç yetiremeyen birtakım veliler mi (tanrılar) edindiniz?" De ki: "Hiç görmeyen (a'ma) ile gören (basiret sahibi) eşit olabilir mi? Veya karanlıklarla nur eşit olabilir mi?" Yoksa Allah'a, O'nun yaratması gibi yaratan ortaklar buldular da, bu yaratma, kendilerince birbirine mi benzeşti? De ki: "Allah, herşeyin Yaratıcısıdır ve O, tektir, kahredici olandır." (Rad Suresi, 16)
1- Öncelikle pankreas hücreleri, kan sıvısının içinde bulunan yüzlerce molekül arasından şeker moleküllerini bulur ve diğerlerinden ayırdederler. Dahası bu moleküllerin sayılarının fazla mı yoksa az mı olduklarına karar verir, adeta şeker moleküllerini sayarlar. Gözü, beyni, elleri olmayan, gözle göremeyeceğimiz küçüklükteki hücrelerin bir sıvının içindeki şeker moleküllerinin durumu hakkında fikir sahibi olması, üzerinde düşünülmesi gereken bir konudur.
2- Eğer pankreas hücreleri kanda gereğinden fazla şeker olduğunu belirlerlerse, bu fazla şekerin depolanmasına karar verirler. Ancak bu depolama işini kendileri yapmaz, kendilerinden çok uzakta bulunan başka hücrelere yaptırırlar.
3- Uzaktaki bu hücreler kendilerine aksi bir emir gelmediği sürece şeker depolamak istemezler. Ancak pankreas hücreleri, bu hücrelere "şeker depolamaya başlayın" emrini taşıyacak bir hormon yaparlar. "İnsülin" adı verilen bu hormonun formülü, pankreas hücreleri ilk oluştukları andan itibaren DNA'larında kayıtlı bulunmaktadır.
4- Pankreas hücrelerindeki özel "enzimler" (işçi proteinler) bu formülü okurlar. Okunan formüle göre de insülin üretirler. Bu üretimde her biri farklı görevlerde yüzlerce enzim çalışır.
5- Üretilen insülin hormonu, en güvenli ve en hızlı ulaşım ağı olan kan yoluyla hedef hücrelere ulaştırılır.
6- İnsülin hormonunda yazılı olan "şeker depolayın" emrini okuyan diğer hücreler ise bu emre kayıtsız şartsız itaat ederler. Şeker moleküllerinin hücrelerin içine geçmesini sağlayacak kapılar açılır.
7- Ancak bu kapılar rastgele açılmaz. Depo hücreleri kandaki yüzlerce farklı molekül arasından sadece şeker moleküllerini ayırdeder, yakalar ve kendi içlerine hapseder.
8- Hücreler, kendilerine ulaşan emre hiçbir zaman itaatsizlik etmezler. Bu emri yanlış anlamaz, hatalı maddeleri yakalamaya, gereğinden fazla şeker depolamaya kalkmazlar. Büyük bir disiplin ve özveri ile çalışırlar.
Böylece siz fazla şekerli bir çay içtiğinizde, bu olağanüstü sistem devreye girer ve fazla şekeri vücudunuzda depolar. Eğer bu sistem çalışmasaydı, o zaman kanınızdaki şeker hızla yükselir ve komaya girerek ölürdünüz.
Bu o kadar mükemmel bir sistemdir ki gerektiği zaman tersine de çalışabilir. Eğer kandaki şeker normalin altına düşerse bu sefer pankreas hücreleri bambaşka bir hormon olan "glukagon"u üretirler. Glukagon daha önce şeker depolayan hücrelere bu sefer "kana şeker karıştırın" emri taşır. Bu emre de itaat eden hücreler depoladıkları şekeri geri bırakırlar.
Nasıl olur da, bir beyne, sinir sistemine, göze, kulağa sahip olmayan hücreler, bu denli büyük hesapları ve işleri kusursuzca başarırlar? Proteinlerin ve yağ moleküllerinin yan yana gelmesiyle oluşan bu şuursuz varlıklar, nasıl olur da insanların bile yapamayacakları kadar büyük işler yapabilirler. Şuursuz moleküllerin sergiledikleri bu büyük şuurun kaynağı nedir?…
Elbette bu olaylar, bizlere tüm evrene ve tüm canlılara hakim olan Allah'ın varlığını ve kudretini göstermektedir. Kuran'da Allah'ın hakimiyeti şöyle açıklanır:
Göklerde ve yerde büyüklük O'nundur. O, üstün ve güçlüdür, hüküm ve hikmet sahibidir. (Casiye Suresi, 37)
PANKREASIN SALGILARI KENDİSİNE NASIL ZARAR VERMEZ?
Birçok parçalayıcı enzimin salgılandığı pankreasın kendi kendini sindirmemesi çok şaşırtıcıdır. Asıl olarak protein yapısında olan pankreas, kendi ürettiği protein parçalayıcı enzimlerin hiçbirinden etkilenmez. Bu korunma sistemi çok hayret verici ve mucizevi şekilde gerçekleşir.
Pankreasın salgıladığı protein parçalayıcı enzimler ilk olarak aktif olmayan halleriyle salgılanırlar. Bu enzimler bu şekilleriyle proteinleri ve dolayısıyla pankreasın kendini parçalayamazlar.
Ancak onikiparmak bağırsağına boşalan enzimler vücutta sadece bu bölgede bulunan çok özel bir maddeyle birleşirler ve o anda değişmeye başlarlar. İnce bağırsakta salgılanan "enterokinaz" adlı maddeyle birleşen enzimler, birden aktif hale gelir. Yani proteinleri parçalayabilecek özellik kazanmış olurlar Ancak pankreasta salgılanan bir maddenin bağırsakta salgılanan başka bir maddeyle kusursuz bir uyumla birleşmesi üzerinde durulması gereken bir konudur.
Bu iki molekül daha önce hiç karşılaşmamışlardır. Ayrı bölgelerde salgılanırlar. Bunlara rağmen bu iki bağımsız molekül birbirlerini kusursuz bir şekilde tamamlarlar ve sonuçta özel bir amaca hizmet ederler. Bu, elbette ki tesadüflerle açıklanamayacak kadar mucizevi bir olaydır.
Herhangi bir aksaklık olmadan, sıralamada karışıklık çıkarmadan çalışan, üstelik bütün insanlarda eksiksiz bir şekilde var olan ve aynı kusursuzlukla işleyen böyle bir sistemin çok yüksek bir akıl ve kusursuz bir tasarım ürünü olduğu, her akıl sahibi insanın kolaylıkla anlayabileceği bir gerçektir. Bu sistemin evrimcilerin iddia ettikleri gibi kör rastlantılarla açıklanması mümkün değildir. Bu sistem Allah'ın apaçık yaratmasının delillerinden biridir. Allah aklını kullanmasını bilen ve görebilenler için bu gibi örnekler üzerinde ayetlerini göstermektedir.

MsXLabs.org & MORPA Genel Kültür Ansiklopedisi
Sponsorlu Bağlantılar
Karın boşluğunda, midenin alt bölümünün arka tarafında bulunan, yaprak biçiminde bir salgıbezi. 15-20 cm. uzunluğunda, 55-70 gr. ağırlığında olup, erkeklerde kadınlardan daha büyüktür. Pankreas, sindirim için gerekli olan enzimleri ve önemli iki hormonu salgılar. Bu salgılar iç ve dış salgılardır. Dış salgı, sindirime yardım eden salgılardır. "Virsung kanalı" denilen özel bir borudan onikiparmak bağırsağına dökülür. İçinde, amilopsi, tripsin, steapsin diye üç çeşit maya bulunur. Bunlar, şekerli ve nişastalı besinleri sindirime elverişli hâle getirir, proteinli besinlerin ve yağların sindirilmesini sağlar. İç salgılar, "ensülin" denilen hormondur. Kandaki fazla şekeri yakarak, karaciğerin şeker düzenlemesine yardım eder. Pankreasın bu salgısında bozukluk olursa şeker hastalığı ortaya çıkar. Pankreasta kanser meydana gelince, pankreas ameliyatla çıkarılır.
VÜCUDUN GİZLİ DESTEKÇİSİ: PANKREAS
Güzel bir akşam yemeği yediğinizi düşünelim. Çeşitli besinlerden oluşan bu yemeği nasıl sindireceğinizi şimdiye kadar hiç aklınıza bile getirmemiş olabilirsiniz. Hatta bütün bu besinlerin her birinin farklı enzimlerle işleme tabi tutulması gerektiğini de bilmiyor olabilirsiniz. Bu konuda eğitim almamış bir insanın bu gibi bilgilere sahip olmaması elbette ki doğaldır. Ancak vücudunuzdaki bir organ bu bilgilerin tümüne sahiptir. Bu organ hangi besinin ne gibi bir enzimle sindirileceğini bilir. Hiçbir karışıklık ve aksaklık çıkmadan, en doğru zamanda, en doğru kimyasal salgıyı besinlere gönderir. Bu organ pankreastır.
Pankreas vücudumuzun gizli destekçisidir. Son derece planlı bir şekilde hareket ederek vücut içi dengelerini korur. Kandaki maddelerin oranlarındaki en ufak değişikliği bile fark eder ve harekete geçer. Pankreasa bu özellikleri veren Allah'tır.
Pankreas vücuttaki en önemli organlardan bir tanesidir. Pankreas damarlarda akan kanın içinde ne kadar şeker molekülü bulunması gerektiğine karar verir. Eğer kandaki şeker molekülü sayısında bir azalma olursa pankreas hemen sayıyı artıracak önlemler alır ve bu önlemler kişinin hayatını kurtarır. Eğer şeker molekülü yoğunluğu artarsa bu sefer kandaki şeker miktarını azaltacak önlemler alır.Pankreas sindirim sistemine gönderdiği enzimlerle de insan yaşamında çok önemli bir rol oynar. Aynı zamanda bağırsakların mide asitleri tarafından parçalanmasını engelleyen enzim de yine pankreas tarafından üretilir.
Pankreas sıvısının salgılanmasının düzenlenmesi: Sekretin ve kolesistokinin tarafından yapılan hormonal kontroller, (1-3. basamaklar), ana düzenleme faktörleridir. Sinirsel kontrol ise vagus sinirleri tarafından kontrol edilir. Vücuttaki sıvılardan sadece bir tanesi için kurulmuş olan bu sistem Allah'ın yaratma sanatının benzersizliğinin kanıtlarındandır.
Bu görevleri teker teker incelersek, belki de hiç dikkatimizi çekmeyen bu organın, bizim için ne kadar bilinçli ve planlı hareket ettiğini ve bizi mutlak bir ölümden koruyacak kusursuz bir sisteme sahip olarak yaratıldığını görürüz.Sindirim işleminde pankreasın devreye girmesi özel bir mesaj ile gerçekleşir. Midede sindirim işlemleri devam ederken özel bir enzim olan "kolesistokinin" kana karışmaya başlar. Bu enzimin kanda belirli bir düzeye ulaşması pankreası uyarır. Bu uyarı pankreasa görev zamanının geldiğini bildirir ve pankreas, parçalayıcı enzimlerini onikiparmak bağırsağına salgılamaya başlar.
GİZLİ KİMYAGER
Pankreas sindirim işleminin başladığını anlamakla kalmaz, bir de yediğiniz yiyeceklerin çeşitlerini de anlayabilir. Ve yediğiniz farklı yiyeceklere göre farklı sindirim enzimleri üretir. Örneğin makarna, ekmek gibi karbonhidratlı besinler yediğiniz zaman pankreasın salgıladığı enzim, karbonhidrat parçalayıcı özelliğe sahiptir. Bu besinler onikiparmak bağırsağına ulaştığında, pankreas karbonhidrat parçalayıcı özellikteki "amilaz" isimli enzimi üretir.
Eğer kırmızı et, balık ve tavuk gibi besinler yerseniz, pankreas, proteinli yiyecek yediğinizi hemen anlar. Yine bu besinler onikiparmak bağırsağına ulaştığında bu sefer proteinleri parçalayacak farklı enzimler olarak "tripsin, kimotripsin, karboksipeptidaz, ribonükleaz ve deoksiribonükleaz" üretir ve bu enzimler protein moleküllerine saldırır. Eğer yemeğinizin yağ oranı fazlaysa bu enzimlerle beraber "lipaz" isimli, yağları sindiren bir enzim daha devreye girer.
Görüldüğü gibi bir organ, yediğiniz yemeğin nelerden oluştuğunu anlayıp, daha sonra bu besinlerin sindirilmesi için gerekli olan kimyasal sıvıları ayrı ayrı üretmekte ve bunları sadece gerektiği anlarda salgılamaktadır. Pankreas, karbonhidrat molekülü için protein parçalayıcı, veya yağ molekülü için karbonhidrat parçalayıcı sıvı salgılamaz. Ürettiği kompleks sıvıların kimyasal formüllerini unutmaz. Karışımı oluşturan herhangi bir maddeyi kazara eksik tutmaz. Sağlıklı insanlarda, pankreas ömür boyu doğru şekilde hizmet eder durur.
Şimdi gerçekleşen bu olayı mikro düzeyde tekrar inceleyerek karşımızdaki mucizenin boyutlarını daha iyi görelim. Midede sindirim devam ederken mide hücreleri boş durmazlar. Bu hücrelerden bazıları midede sindirilen besinin bir süre sonra onikiparmak bağırsağına ulaşacağını anlamışlardır. Bu hücrelerin bütün düşünceleri ve istekleri besinlerin insan için en iyi şekilde sindirilmesidir. İçlerindeki sorumluluk duygusu ile harekete geçen mide hücreleri pankreas hücrelerine mektup yazmaya (hormon salgılamaya) ve bu hücreleri yardıma çağırmaya karar verirler. Ardından yazdıkları mektupları kan yolu ile pankreasa gönderirler.
Üstteki tahtalardan soldakinde glikoz molekülü, sağda ise amilaz molekülü görülmektedir. Amilaz molekülü glikoz moleküllerinin birbirlerine bir tür bağ ile bağlanması sonucunda meydana gelir. Bir insan için bu formülleri eğitim almadan çözmesi imkansızdır. Ancak pankreas hücreleri bunlara benzer moleküllerin kimyasal yapılarını çok iyi bilirler ve gerektiği şekilde kullanırlar. Pankreas hücrelerini bu özelliklerle birlikte yaratan yüce Allah'tır.
Kana bırakılan mektup vücut içinde yolculuk eder. Bu yolculuk sırasında pankreasa gelindiği zaman, pankreas hücreleri mektubu tanır ve hemen açarlar. Burada ilginç bir nokta -kan yoluyla hemen hemen bütün vücudu dolaştığı halde- mektubun diğer organların hücreleri tarafından açılmaması ve özellikle okunmamasıdır. Bütün hücreler bu mektubun pankreas için yazıldığını, kendilerini muhatap almadığını bilirler. Çünkü mektubun üzerinde pankreasın adresi vardır. Mektubun moleküler yapısı yalnızca pankreas hücrelerinin zarında bulunan algılayıcı moleküllerle etkileşecek şekilde özel olarak dizayn edilmiştir. Yani mide hücresi adeta şuurlu ve bilinçli bir şekilde ürettiği hormonun üzerine gerçekten bir adres yazmıştır. Üstelik vücuttaki milyarlarca farklı adres içinden pankreas hücresinin adresini doğru bir şekilde yazmıştır. Bu adresin doğru şekilde yazılabilmesi için mide hücresinin pankreas hücresinin bütün özelliklerini bilmesi gerekir.Mucize yalnızca adresin doğru yazılması ile sınırlı değildir. Mide hücresinin gönderdiği mektubun içinde bir de mesaj vardır. İnsan vücudunun derinliklerinde, birbirlerinden çok uzakta bulunan iki küçük canlı (hücre) mektuplaşmakta ve haberleşmektedir. Birbirlerini hiç görmedikleri halde birbirlerinin hangi dilden anladıklarını bilmektedirler. Dahası bu haberleşme bir amaç uğrunadır. İki hücre birlik olmuş ve yediğiniz besinlerin sindirilmesi için plan yapmaktadırlar. Şüphesiz bu gerçek bir mucizedir.
Kendisine ulaşan mektubu (kolesistokinin hormonunu) okuyan pankreas hiç beklemeden bu mektuptaki emre itaat eder. Hemen besinlerin sindirilmesi için gerekli enzimleri salgılamaya başlar. Eğer onikiparmak bağırsağına ulaşan besin protein ise protein parçalayan bir enzim üretir. Eğer besin karbonhidrat ağırlıklı ise bu sefer karbonhidrat parçalayan bir enzim üretir ve bu enzimi onikiparmak bağırsağına gönderir.
Şimdi önünüze bir kara tahta koyulduğunu ve bu kara tahtanın üzerine sırayla bir protein molekülünün, bir yağ molekülünün ve bir karbonhidrat molekülünün formüllerinin yazıldığını ve bu moleküllerin atomik dizilimlerini gösteren şekillerin çizildiğini düşünelim. Ardından sizden bu üç farklı moleküler yapının her birini parçalayacak en uygun moleküler yapıya sahip enzimlerin formüllerini üretmeniz ve bu formülleri tahtaya yazmanız istensin.
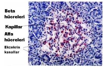
Pankreasın sindirim enzimleri salgılayan açık kısmı tükürük bezleri gibidir. Pankreasın bu kısmı "asinüs" denilen parçalardan meydana gelmiştir. Bu pankreas lopları (asinüsler) arasında Langerhans adacıkları bulunur. Bu yapı kılcal damarca zengindir. Kan şekerini düzenleyen insülin ve glukagon hormonlarını salgılar.
Eğer kimya konusunda bir eğitim almadıysanız, size 1 milyon yıl süre verilse dahi uygun formülü tahmin ederek bulamazsınız. Bu molekülleri parçalayacak enzimlerin formüllerini ancak kimya konusunda uzman bir kişi yazabilir. Bu kişi de uygun formülü kendi hayal gücüne dayanarak yazmaz. Ancak almış olduğu eğitim ve daha önce kendisine öğretilen bilgiler doğrultusunda bu formülü yazabilir.Durum böyle iken, pankreas hücrelerinin ürettikleri enzimlerin kimyasal yapılarını nasıl bilebildikleri sorusu son derece önem kazanmaktadır. Her pankreas hücresi doğuştan söz konusu formüllerin bilgilerine sahiptir. Bu bilgiye sahip olmakla kalmaz, bildiklerini en doğru şekilde kullanır ve insana yorulmaksızın hizmet ederler. Pankreas hücreleri kimya konusunda insanlardan çok daha zeki ve başarılıdırlar. Çünkü insanın bu formülleri üretebilmesi için eğitime ihtiyacı varken, küçücük bir hücre söz konusu formülleri doğuştan ezbere bilmektedir.
Hiçbir tesadüf, hücrelere böylesine üstün bir akıl, böylesine özel bir bilgi ve böylesine üstün bir sorumluluk anlayışı kazandıramaz. Hiçbir tesadüf, hücrelerin birbirleri ile haberleşecekleri, birbirlerinden yardım isteyecekleri bir sistem kuramaz. Hiçbir tesadüf, tek bir pankreas hücresine tek bir kimyasal formülü öğretemez. Hiçbir tesadüf, hücreye elindeki bilgiyi doğru zamanda kullanma yeteneği veremez.
Bu sistemleri yoktan var eden ve her an çalışmasını sağlayarak insana hizmet ettiren güç, Alemlerin Rabbi olan Allah'tır.
Pankreasın vücuttaki önemli görevlerinden başka bir tanesi de kan şekerinin ayarlanmasıdır. Bu ayarlamayı yapan salgılar, pankreas içinde bulunan ve "Langerhans adacıkları" denilen küçük kapalı bezler tarafından üretilir. İnsülin ve glukagon adını alan bu hormonlar kan şekerinin ayarlanmasında görevlidirler.
Bir yandan şekerli çayınızı yudumlar bir yandan da pastanızı yerken hiçbir zaman aklınıza kanınızdaki şeker miktarını ayarlanmanız gerektiği gelmez. Sürekli yapılan bu ayarın ne kadar hayati bir önemi olduğunu da düşünmemiş olabilirsiniz. Ancak sizin sağlığınızla ilgili bu konuda görevlendirilmiş olan pankreasınız, gerekli olan bütün bilgilere sahiptir ve kanınızdaki şeker ile ilgili ölçümleri çok hassas bir şekilde yapar. Ve gerektiği anda yeteri kadar hormon salgılayarak vücudunuzdaki şeker dengesini korur.
Kandaki şeker miktarının belirli sınırlar içinde olması insan yaşamı için zorunludur. Ama insan günlük hayatta şekerli gıdalar yerken bu hassas dengenin hesabını yapamaz. Çünkü herkes adına bu hesap sürekli olarak yapılır.
Kandaki şeker miktarı yükseldiğinde pankreas bu durumu hemen haber alır ve insülin denilen özel bir madde salgılar. Bu madde karaciğere ve vücuttaki diğer hücrelere kandaki fazla şekeri tutmalarını emreder. Eğer kandaki şeker miktarı düşerse pankreas bunu da hemen öğrenir ve "glukagon" isimli bir başka hormon salgılar. Bunun üzerine karaciğer önceden depoladığı şeker stoklarını, özel işlemlerden geçirip kana geri verir.Kandaki şeker oranı -hastalık durumu hariç- bu işlemler sayesinde hiçbir zaman tehlikeli bir noktaya çıkmaz.
Günlük hayatta sizin ne pankreastan ne insülinden ne de karaciğerden haberiniz olmaz. Kanınızdaki şekerin yükseldiğini fark etmezsiniz, hatta önünüze farklı şeker oranları olan iki şişe kan konulsa aradaki farkı anlayamazsınız. Ama hiçbir zaman görmediğiniz ve bilmediğiniz bazı hücreleriniz, kanınızdaki şekeri laboratuvarlardaki aletlerden daha hassas bir şekilde ölçer ve ne yapılması gerektiğine anında karar vererek hemen uygulamaya geçerler.
- Hücrenin yüzeyinde glikozun hücrenin içine girmesini sağlayan mikroskobik aralıklar vardır. (üstte) Bu tasarım insanın Allah tarafından yaratıldığının kanıtlarından biridir. Glikozun hücre tarafından emilimi kandaki insülin seviyesine bağlıdır. İnsülin hücre zarındaki alıcıya bağlandığında hücrenin içindeki özel proteinler harekete geçerler. Bu glikoz taşıyıcılar için bir uyarıdır. Ayrıca hücrenin iç kısmında zarla çevrili glikoz kesecikleri vardır.
- Bunlardan bir kısmı hücre zarına yakın durur.
- Bu kesecikler uyarıyla birlikte ana hücre zarına doğru hareket ederler ve onunla birleşirler.
- Bu birleşme sırasında glikoz taşıyıcıları açığa çıkar. Bunlar glikoz toplamaya hazırdır.
- Hücre zarında glikozu hücre içine alan taşıyıcı protein sayısı arttıkça kandaki glikoz seviyesi azalır ve daha az insülin üretilir. Bir süre sonra hücre zarının bir kısmı protein taşıyıcılarla birlikte içe doğru kıvrılmaya başlar ve kesecikler oluşturur.
- Bunlar hücrenin iç kısmına doğru ilerler ve endozomla birleşir
- Burada tekrar kesecikler oluştuğunda bir sonraki uyarının gelmesini bekler ve bu işlem sürekli devam eder.
(Dr. Philip Whitfield, Human Body Explained, A Marshall Edition, s.43)
Hücrelerinize, ölçüm yaptıran, karar verdiren, bunları uygulayacak akıl ve yetenek kazandıran elbette ki hücrelerinizin kendisi değildir. Vücudunuzdaki hücrelere gerekli komutları veren, nasıl davranmaları gerektiğinden onları haberdar eden, kusursuz bir sistemle onları yaratan üstün güç sahibi Allah'tır.
Buraya kadar pankreastan bahsederken; "bilir, yapar, unutmaz, eksik tutmaz, karıştırmaz" gibi sıfatlar kullandık. Pankreasın da hücrelerden oluştuğu düşünülecek olunursa, akıl gerektiren bu sıfatların pankreasın kendisine ait olamayacağı da hemen anlaşılacaktır. Peki öyleyse pankreası oluşturan hücrelere bir ömür boyu üretim yapma, hizmet etme sorumluluğunu kim vermiştir? Birbirlerinden farklı ve kompleks molekülleri parçalayacak enzimlerin kimyasal formüllerini pankreas hücrelerine kim öğretmiştir? Üretilen sıvıların doğru yere boşaltılmalarını sağlayan boru sistemini kim döşemiştir? Doğru sıvının, doğru anda boşaltılmasını sağlayan uyarı ve iletişim sistemini kim kurmuştur?
Bu sorular veya bu sorular gibi üretilebilecek yüzlerce soru, bizi apaçık bir gerçeğe götürür. Bütün bunları yaratan Allah'tır. Allah küçücük alanlara yerleştirdiği bu gibi ihtişamlı özelliklerle bize Kendisini tanıtır. Allah büyük bir güç sahibidir. Allah'ın yaratmada hiçbir ortağı yoktur. Bu, insanın hayatındaki en önemli gerçektir.
De ki: "Göklerin ve yerin Rabbi kimdir?" De ki: "Allah'tır." De ki: "Öyleyse, O'nu bırakıp kendilerine bile yarar da, zarar da sağlamaya güç yetiremeyen birtakım veliler mi (tanrılar) edindiniz?" De ki: "Hiç görmeyen (a'ma) ile gören (basiret sahibi) eşit olabilir mi? Veya karanlıklarla nur eşit olabilir mi?" Yoksa Allah'a, O'nun yaratması gibi yaratan ortaklar buldular da, bu yaratma, kendilerince birbirine mi benzeşti? De ki: "Allah, herşeyin Yaratıcısıdır ve O, tektir, kahredici olandır." (Rad Suresi, 16)
ŞEKER YEDİĞİNİZ ZAMAN VÜCUDUNUZDA ÇALIŞAN DEV FABRİKANIN FARKINDA MISINIZ?
Eğer ihtiyacınızdan biraz daha fazla şekerli bir gıda yerseniz, vücudunuzdaki bir sistem kandaki şeker oranının yükselmesini engellemek için devreye girer:1- Öncelikle pankreas hücreleri, kan sıvısının içinde bulunan yüzlerce molekül arasından şeker moleküllerini bulur ve diğerlerinden ayırdederler. Dahası bu moleküllerin sayılarının fazla mı yoksa az mı olduklarına karar verir, adeta şeker moleküllerini sayarlar. Gözü, beyni, elleri olmayan, gözle göremeyeceğimiz küçüklükteki hücrelerin bir sıvının içindeki şeker moleküllerinin durumu hakkında fikir sahibi olması, üzerinde düşünülmesi gereken bir konudur.
2- Eğer pankreas hücreleri kanda gereğinden fazla şeker olduğunu belirlerlerse, bu fazla şekerin depolanmasına karar verirler. Ancak bu depolama işini kendileri yapmaz, kendilerinden çok uzakta bulunan başka hücrelere yaptırırlar.
3- Uzaktaki bu hücreler kendilerine aksi bir emir gelmediği sürece şeker depolamak istemezler. Ancak pankreas hücreleri, bu hücrelere "şeker depolamaya başlayın" emrini taşıyacak bir hormon yaparlar. "İnsülin" adı verilen bu hormonun formülü, pankreas hücreleri ilk oluştukları andan itibaren DNA'larında kayıtlı bulunmaktadır.
4- Pankreas hücrelerindeki özel "enzimler" (işçi proteinler) bu formülü okurlar. Okunan formüle göre de insülin üretirler. Bu üretimde her biri farklı görevlerde yüzlerce enzim çalışır.
5- Üretilen insülin hormonu, en güvenli ve en hızlı ulaşım ağı olan kan yoluyla hedef hücrelere ulaştırılır.
6- İnsülin hormonunda yazılı olan "şeker depolayın" emrini okuyan diğer hücreler ise bu emre kayıtsız şartsız itaat ederler. Şeker moleküllerinin hücrelerin içine geçmesini sağlayacak kapılar açılır.
7- Ancak bu kapılar rastgele açılmaz. Depo hücreleri kandaki yüzlerce farklı molekül arasından sadece şeker moleküllerini ayırdeder, yakalar ve kendi içlerine hapseder.
8- Hücreler, kendilerine ulaşan emre hiçbir zaman itaatsizlik etmezler. Bu emri yanlış anlamaz, hatalı maddeleri yakalamaya, gereğinden fazla şeker depolamaya kalkmazlar. Büyük bir disiplin ve özveri ile çalışırlar.
Böylece siz fazla şekerli bir çay içtiğinizde, bu olağanüstü sistem devreye girer ve fazla şekeri vücudunuzda depolar. Eğer bu sistem çalışmasaydı, o zaman kanınızdaki şeker hızla yükselir ve komaya girerek ölürdünüz.
Bu o kadar mükemmel bir sistemdir ki gerektiği zaman tersine de çalışabilir. Eğer kandaki şeker normalin altına düşerse bu sefer pankreas hücreleri bambaşka bir hormon olan "glukagon"u üretirler. Glukagon daha önce şeker depolayan hücrelere bu sefer "kana şeker karıştırın" emri taşır. Bu emre de itaat eden hücreler depoladıkları şekeri geri bırakırlar.
Nasıl olur da, bir beyne, sinir sistemine, göze, kulağa sahip olmayan hücreler, bu denli büyük hesapları ve işleri kusursuzca başarırlar? Proteinlerin ve yağ moleküllerinin yan yana gelmesiyle oluşan bu şuursuz varlıklar, nasıl olur da insanların bile yapamayacakları kadar büyük işler yapabilirler. Şuursuz moleküllerin sergiledikleri bu büyük şuurun kaynağı nedir?…
Elbette bu olaylar, bizlere tüm evrene ve tüm canlılara hakim olan Allah'ın varlığını ve kudretini göstermektedir. Kuran'da Allah'ın hakimiyeti şöyle açıklanır:
Göklerde ve yerde büyüklük O'nundur. O, üstün ve güçlüdür, hüküm ve hikmet sahibidir. (Casiye Suresi, 37)
PANKREASIN SALGILARI KENDİSİNE NASIL ZARAR VERMEZ?
Birçok parçalayıcı enzimin salgılandığı pankreasın kendi kendini sindirmemesi çok şaşırtıcıdır. Asıl olarak protein yapısında olan pankreas, kendi ürettiği protein parçalayıcı enzimlerin hiçbirinden etkilenmez. Bu korunma sistemi çok hayret verici ve mucizevi şekilde gerçekleşir.
Pankreasın salgıladığı protein parçalayıcı enzimler ilk olarak aktif olmayan halleriyle salgılanırlar. Bu enzimler bu şekilleriyle proteinleri ve dolayısıyla pankreasın kendini parçalayamazlar.
Ancak onikiparmak bağırsağına boşalan enzimler vücutta sadece bu bölgede bulunan çok özel bir maddeyle birleşirler ve o anda değişmeye başlarlar. İnce bağırsakta salgılanan "enterokinaz" adlı maddeyle birleşen enzimler, birden aktif hale gelir. Yani proteinleri parçalayabilecek özellik kazanmış olurlar Ancak pankreasta salgılanan bir maddenin bağırsakta salgılanan başka bir maddeyle kusursuz bir uyumla birleşmesi üzerinde durulması gereken bir konudur.
Bu iki molekül daha önce hiç karşılaşmamışlardır. Ayrı bölgelerde salgılanırlar. Bunlara rağmen bu iki bağımsız molekül birbirlerini kusursuz bir şekilde tamamlarlar ve sonuçta özel bir amaca hizmet ederler. Bu, elbette ki tesadüflerle açıklanamayacak kadar mucizevi bir olaydır.
Pankreas yaklaşık 15 cm uzunluğundadır. Yanda pankreas ve çevresindeki organlar görülmektedir. Pankreasın vücuttaki organlarla olan uyumunu, bağlantılardaki kusursuzluğu düşünen her insan Allah'ın üstün bir güç sahibi olduğunu hemen anlayacaktır.
Üstelik pankreasın kendini öğütmesini engelleyen mucizevi sistemler sadece bununla da sınırlı değildir. Pankreastan protein öğütücü bir diğer enzim olan "tripsin" salgılanır. Ancak aynı zamanda tripsinin pankreası eritmemesi için bu maddeyi etkisiz hale getirecek "tripsin inhibitör" adlı özel bir madde daha salgılanır. Beraber salgılandıklarında hiçbir etkileri olmayan bu iki enzim, onikiparmak bağırsağına geldiklerinde birbirlerinden ayrılırlar. Bu ayrılık tripsini bir anlamda serbest bırakır ve tripsin bağırsaklara ulaşan besinlerdeki proteinleri parçalamaya başlarEğer bu iki madde daha erken ayrılsalardı, tripsin, pankreasın kendisini parçalardı. Eğer hiç ayrılmasalardı bu sefer besinlerdeki proteinler parçalanamazdı. Ancak bu örnekte de görüldüğü gibi vücudumuzdaki herşey doğru zamanda ve doğru yerde gerçekleşmektedir. Pankreas tam gerektiği anda gereken maddeleri salgılaması gerektiğini bilmekte, enzimler birbirlerinden ayrıldıkları anda harekete geçmektedirler. Pankreası oluşturan hücrelerin, enzimleri oluşturan moleküllerin böyle kusursuz bir sistemi kendi kendilerine oluşturamayacakları, böyle kusursuz bir düzeni insan vücudunda kuramayacakları açıktır.Herhangi bir aksaklık olmadan, sıralamada karışıklık çıkarmadan çalışan, üstelik bütün insanlarda eksiksiz bir şekilde var olan ve aynı kusursuzlukla işleyen böyle bir sistemin çok yüksek bir akıl ve kusursuz bir tasarım ürünü olduğu, her akıl sahibi insanın kolaylıkla anlayabileceği bir gerçektir. Bu sistemin evrimcilerin iddia ettikleri gibi kör rastlantılarla açıklanması mümkün değildir. Bu sistem Allah'ın apaçık yaratmasının delillerinden biridir. Allah aklını kullanmasını bilen ve görebilenler için bu gibi örnekler üzerinde ayetlerini göstermektedir.
Son düzenleyen Safi; 2 Mayıs 2016 00:21
Quo vadis?

Pankreas Nedir - Pankreasın Yapısı ve Görevleri






